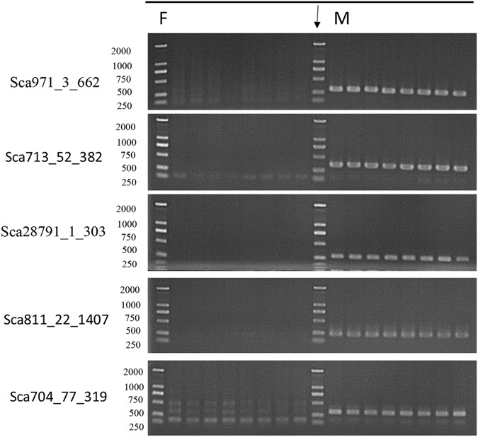
Figure 3

PCR tests for five representative Y-linked fragments in full-sib grass carp individuals. All five fragments that distributed in five significantly enriched scaffolds (Sca971, Sca811, Sca713, Sca28791, and Sca704) were selected in PCR tests in eight female and male grass carp samples. These five sequences are Sca971_3_662, Sca713_52_382, Sca28791_1_303, Sca811_22_1407, Sca704_77_319. Male specificity was defined as the occurrence of a clear amplicon of a distinct size in males but not in females. The DL2000 DNA Markers are loaded in the Lanes. The result verified that these five putative Y-linked scaffolds were Y-linked. Additional information of these five representative Y-linked fragments can be found in Table 3.