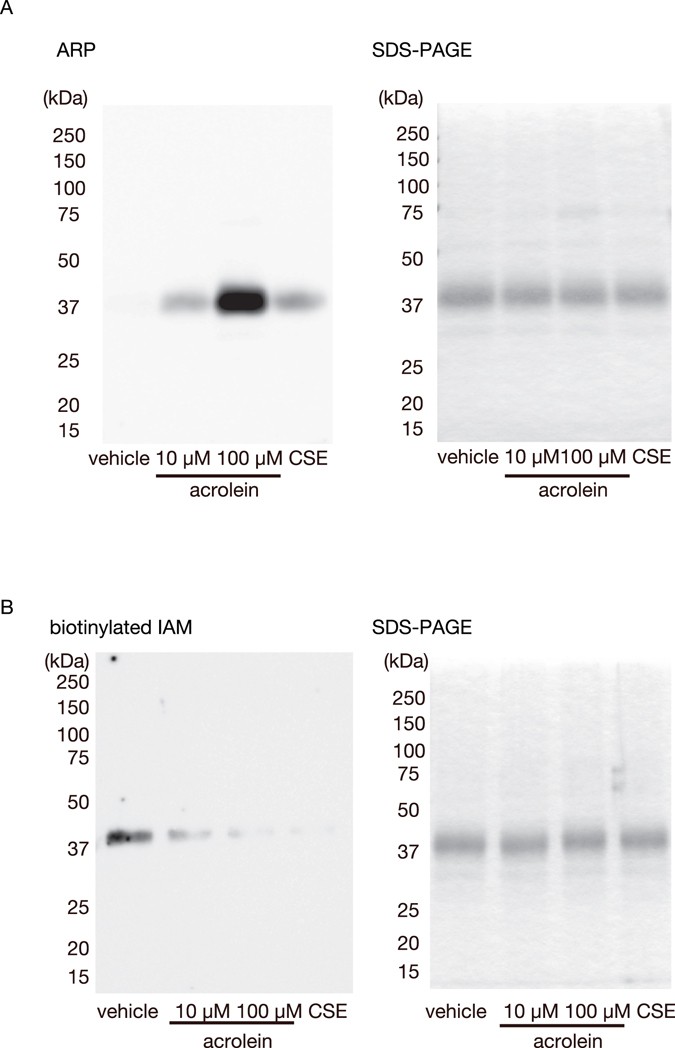
Figure 3

The modification of recombinant hSP-A by acrolein and CSE. Recombinant human SP-A (5 µM) was incubated with vehicle, acrolein (10 or 100 μM), or CSE (10%) at 37 °C for 4 h. (A) The amount of aldehyde-protein adducts was determined by using ARP. ARP-labeled SP-A was detected by streptavidin blotting (left). A gel stained with Coomassie Brilliant Blue (right). (B) The level of the oxidation of thiols in SP-A was determined by using IAM. IAM-labeled SP-A was detected by streptavidin blotting (left). A gel stained with Coomassie Brilliant Blue (right). These experiments were performed three times each, and representative results are shown.