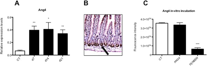
Figure 3

Ang4 is transcriptionally upregulated in paneth cells in the small intestine of mice following an infection with G. muris but has no direct effect on trophozoite viability. (A) Relative mRNA expression levels of Ang4 in the small intestine of C57BL/6 WT G. muris infected mice versus C57BL/6 WT uninfected controls, as measured by qRT-PCR. Expression levels were measured at day 7, day 14 and day 21 post infection (*p < 0.05). (B) Histological analysis with an anti-Ang4 antibody revealed the presence of Ang4 protein in paneth cells (indicated by black arrow) in the small intestine of C57BL/6 WT infected mice. (C). In vitro incubation of G. muris trophozoites with angiogenin 4 recombinant protein (100 μM) and fenbendazole (0.5 μM) as a positive control. Metabolic activity of trophozoites was measured as fluorescence intensity of the reduced colorimetric agent resazurin (***p < 0.001).