Figure 3
From: Zeb2 is a negative regulator of midbrain dopaminergic axon growth and target innervation

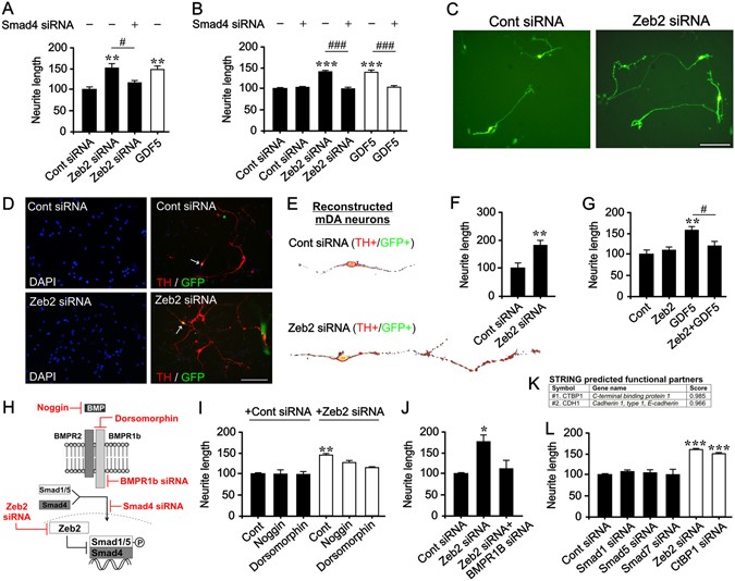
Zeb2 is an endogenous negative regulator of Smad-dependent neurite growth. (A,B) Graphs of neurite length relative to control in cultures of (A) SH-SY5Y and (B) E14 VM neurons transfected with Zeb2-siRNA or a control siRNA with or without a Smad4-siRNA and cultured for 72 h. Cells were treated with 100 ng/ml GDF5 as a positive control. (C, D) Photomicrographs of (C) GFP + neurons and (D) mDA neurons (TH + /GFP + ) in cultures of E14 rat VM neurons transfected with Zeb2-siRNA or a control siRNA at 72 h. (E) Reconstructed mDA neurons and (F) relative neurite length of mDA neurons from the experiment outlined in (D). (G) Graph of relative neurite length in cultures of E14 VM neurons transfected with Zeb2 or control expression vectors cultured with or without 100 ng/ml GDF5 for 72 h. (H) Schematic of experimental approaches. (I,J) Graph of neurite length in cultures of E14 VM neurons transfected with Zeb2-siRNA or a control siRNA and cultured with noggin or dorsomorphin (I) or a control siRNA and BMPR1b-siRNA (J), after 72 h. (K) STRING score showing the two functional binding partners of Zeb2. (L) Graph of neurite length in cultures of E14 VM neurons transfected with control siRNA or Smad1, Smad5, Smad7, Zeb2 or CtBP1 siRNA and cultured for 72 h. (n = 3; *P < 0.05, **P < 0.01, ****P < 0.0001 vs. control; t-test or ANOVA with post hoc Tukey’s test; # P < 0.05; ### P < 0.001). All data are the mean + SEM. Scale bar = 100 µm.