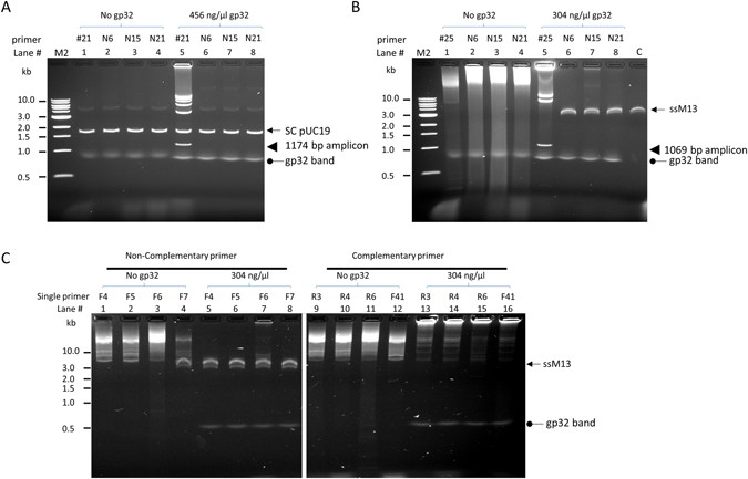
Figure 5

Probing the role of gp32 in conferring amplification specificity. Specific or non-specific primers were used to perform typical amplification reactions with 0.1 µg pUC19 or ssM13 DNA. (A) pUC19 dsDNA template with specific and random primers. Primer pair #21 produced specific product only in the presence of gp32 (lane 1 vs 5). Random primers of various length (N6, N15 or N21) gave no product regardless of the presence of gp32 (lane 2–4 and 6–8). (B). M13 ssDNA template with specific and random primers. Without gp32, high molecular weight smear products were generated with either a primer pair or random primers (lanes 1–4). With gp32, primer pair #25 (lane 5) gave typical specific bands while random primers of various lengths yield no amplification product (lane 6–8). Lane C, untreated ssM13 DNA. (C) Amplification reactions with single primers that have either the same (lanes 1–8) or complementary sequences to ssM13 (lanes 9–16). In the absence of gp32 (lanes 1–4 and 9–12), primers having either the same sequence or complementary sequences produced high molecular weight amplification products. Including gp32 in the reaction prevented nonspecific amplification with non-complementary primers (lanes 5–8) and allowed the generation of even larger product with complementary primers (lanes 13–16).