Figure 1

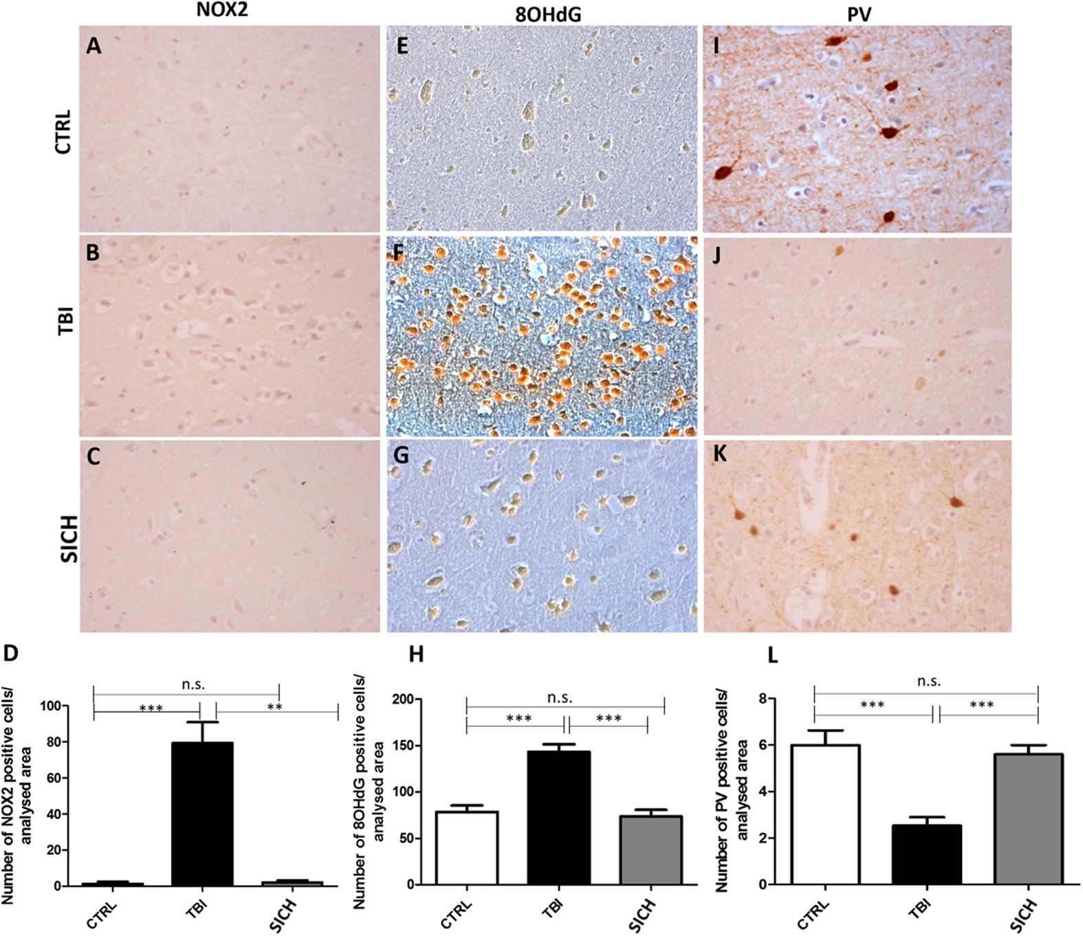
Increase of oxidative stress and loss of PV-positive interneurons in the cortex of subjects died following traumatic brain injury. (A–C) Representative images of NOX2 immunostaining in the cortex of controls (CTRL, n = 5) (A), subjects died following TBI (TBI, n = 15) (B) and subjects died following spontaneous intracerebral hemorrhage (SICH, n = 5) (C). (D) Quantification of NOX2-positive-stained cells in the cortex of controls (CTRL, n = 5), subjects died following TBI (TBI, n = 15) and subjects died following spontaneous intracerebral hemorrhage (SICH, n = 5). Results are expressed as means ± s.e.m. One-way ANOVA, followed by Tukey’s post hoc test, F = 14.36; **P < 0.01; ***P < 0.001; n.s. = not significant. (E–G) Representative images of 8OHdG immunostaining in the cortex of controls (CTRL, n = 5) (E), subjects died following TBI (TBI, n = 15) (F) and subjects died following spontaneous intracerebral hemorrhage (SICH, n = 5) (G). (H) Quantification of 8OHdG-positive-stained cells in the cortex of controls (CTRL, n = 5), subjects died following TBI (TBI, n = 15) and subjects died following spontaneous intracerebral hemorrhage (SICH, n = 5). Results are expressed as means ± s.e.m. One-way ANOVA, followed by Tukey’s post hoc test, F = 17,72; ***P < 0.001; n.s. = not significant. (I–K) Representative images of PV immunostaining in the cortex of controls (CTRL, n = 5) (I), subjects died following TBI (TBI, n = 15) (J) and subjects died following spontaneous intracerebral hemorrhage (SICH, n = 5) (K). (L) Quantification of PV-positive-stained cells in the cortex of controls (CTRL, n = 5), subjects died following TBI (TBI, n = 15) and subjects died following spontaneous intracerebral hemorrhage (SICH, n = 5). Results are expressed as means ± s.e.m. One-way ANOVA, followed by Tukey’s post hoc test, F = 18,20; ***P < 0.001; n.s. = not significant.