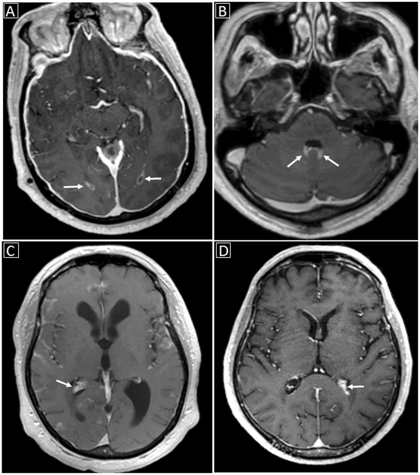
Figure 2

Examples of ventricular involvement in CNS cryptococcosis: (A) Abnormal ependymal enhancement along the occipital horns of the lateral ventricles bilaterally (white arrows) on enhanced T1-weighted image; (B) Abnormal ependymal enhancement along the posterior aspect of the fourth ventricle with probable associated choroid plexitis (white arrows); (C) Choroid plexitis of the right lateral ventricle (white arrow) with hydrocephalus; (D) Left lateral ventricular choroid plexitis (white arrow).