Figure 4
From: Polycystin-1 inhibits eIF2α phosphorylation and cell apoptosis through a PKR-eIF2α pathway

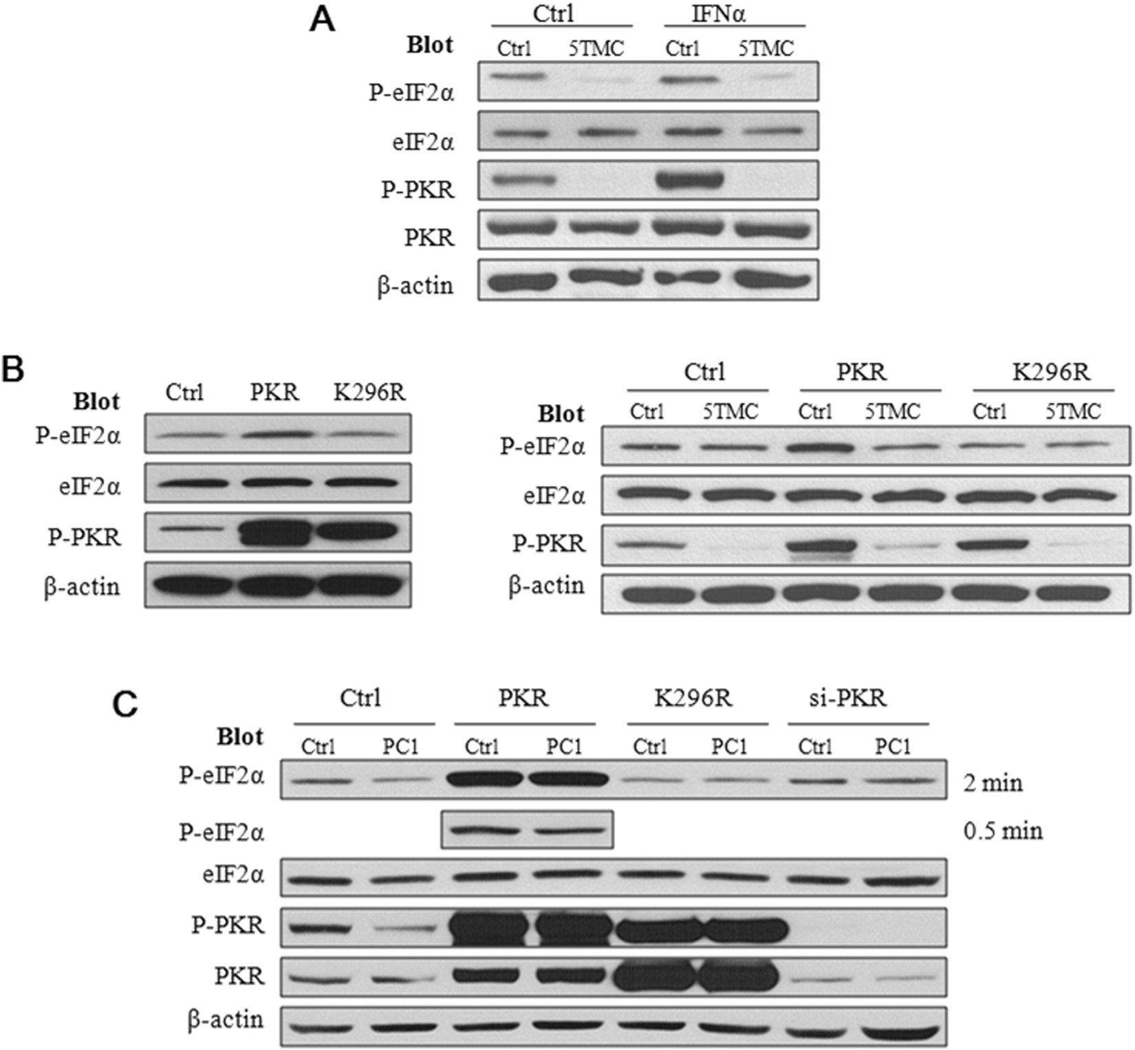
Dependence of the PC1-regulated eIF2α activity on P-PKR kinase activity. (A) Effect of IFNα. Representative data showing the effects of PC1-5TMC on the activity of PKR and eIF2α in the presence and absence of IFNα in HEK293T cells that were transfected with GFP-tagged PC1-5TMC or GFP vector and treated with IFNα at 1,000 U/ml for 24 hours. Blots were probed with the indicated antibodies. (B) Left panel: Effects of the PKR K296R mutation on the PKR and eIF2α activity. HEK293T cells transfected with WT PKR, PKR-K296R or GFP vector. Right panel: Roles of the PKR K296R mutation on the regulation of the PKR and eIF2α activity by PC1 truncation mutant. HEK293T cells transfected with PC1-5TMC or GFP vector were co-transfected with WT PKR or PKR-K296R. Blots were then probed with the indicated antibodies. Ctrl, GFP vector; PKR, WT PKR; K296R, PKR-K296R. (C) Roles of PKR expression and kinase activity on regulation of the PKR and eIF2α activity by PC1. Native HEK293T cells and those stably expressing WT PC1 were transiently transfected with WT PKR, PKR-K296R or PKR siRNA before blots were probed with the indicated antibodies. For P-eIF2α blots in the presence of PKR over-expression, bands obtained with a shorter exposure time (0.5 min, vs regular exposure of 2 min) was also shown to avoid band saturation.