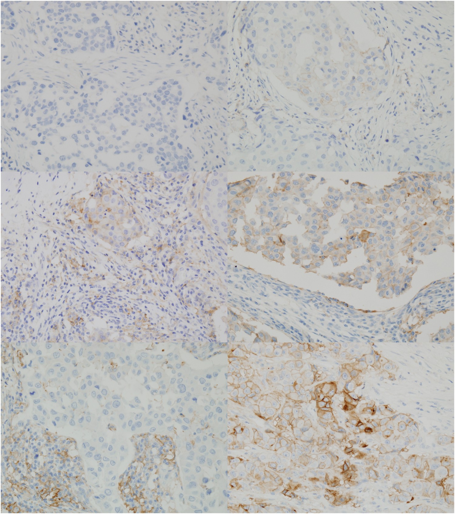
Figure 1

PD-L1 expression by immunohistochemistry (A) Negative for PD-L1 expression in tumour cells and TILs (B) PD-L1 expression in tumour cells (arrow head) with intensity of 1 (C) PD-L1 expression in both TILs (arrow) and tumour cells with intensity of 2 (D) PD-L1 expression in tumour cells with intensity of 2 (E) PD-L1 expression in TILs with intensity of 3 (F) PD-L1 expression in tumour cells with intensity of 3.