Figure 3
From: Schwann cells promote post-traumatic nerve inflammation and neuropathic pain through MHC class II

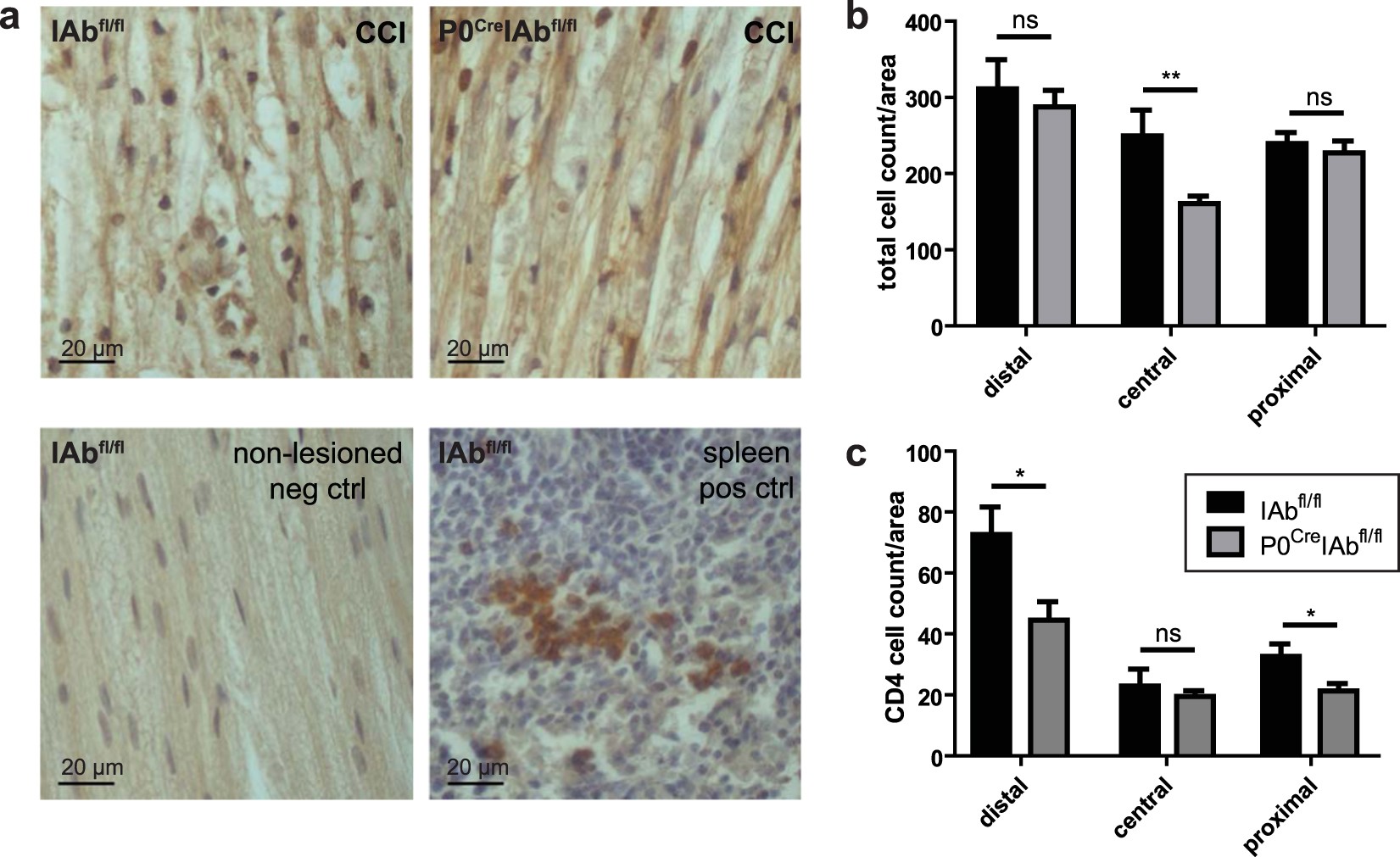
Reduced post-traumatic CD4+ cells in the absence of Schwann cell–specific MHC class II in female mice. (a) Seven days after chronic constriction injury (CCI), longitudinal paraffin embedded sciatic nerve sections (6 µm) from wildtype IAbfl/fl female mice (left top panel) and P0CreIAbfl/fl female mice (right top panel) were cut at distal, central and proximal sites relative to the CCI lesion; sections were stained against CD4 using DAB, and nuclei were stained with Hemalaun. A representative distal section of one of the five animals tested is depicted. Sections of an uninjured “non-lesioned” nerve (left bottom panel) and of a healthy spleen (right bottom panel) from wildtype IAbfl/fl mice stained analogous to the CCI sections serve as negative and positive control of the α-CD4 DAB-staining, respectively. (b,c) The number of total cells (b) and of total CD4+ cells (c) per section was manually counted using ImageJ. Average values of 5 female animals per group are depicted. *p-value < 0.05, **p-value < 0.01, ns not significant.