Figure 2
From: Human Cancer Cells Signal Their Competitive Fitness Through MYC Activity

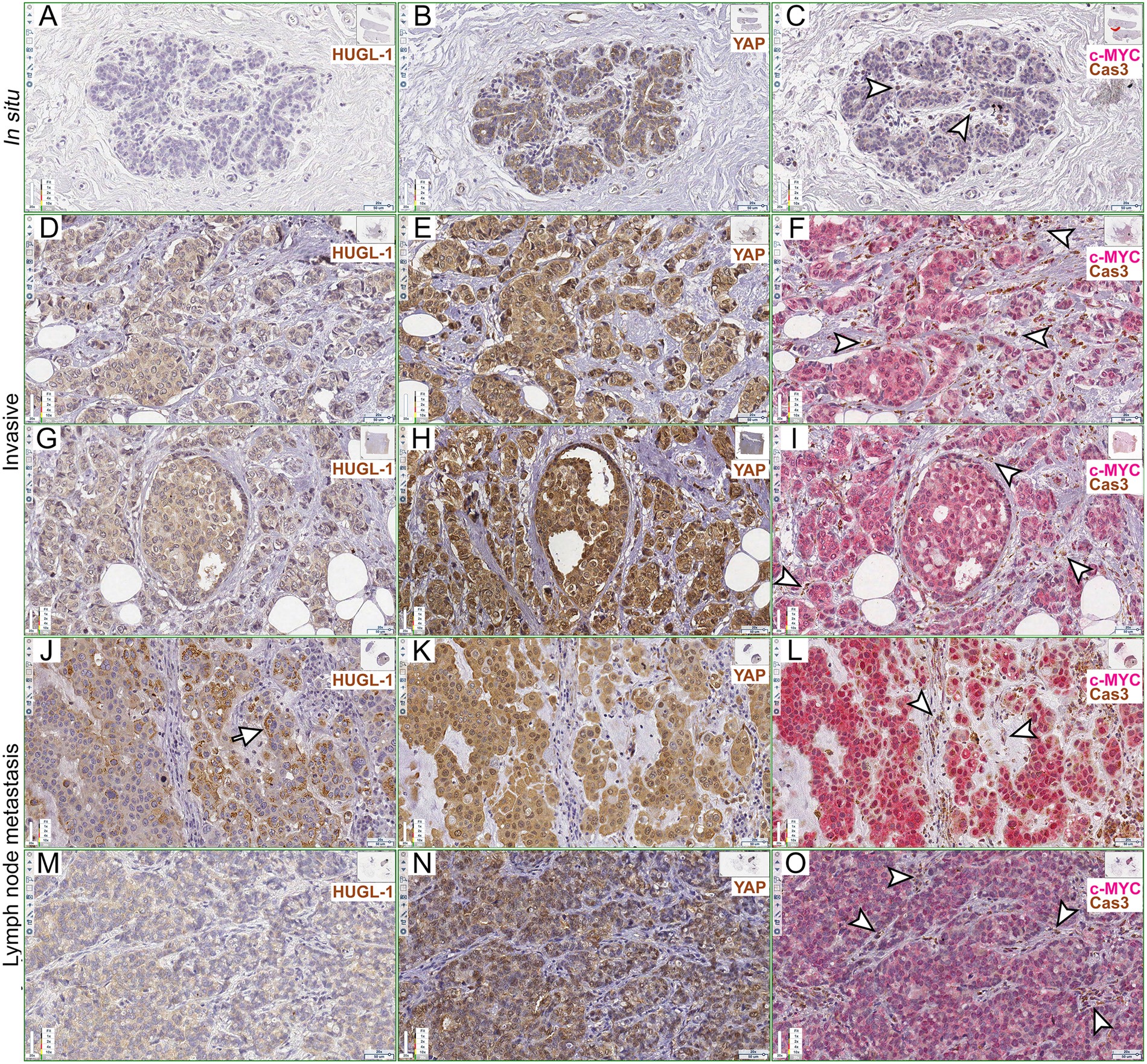
Apoptotic cell death at the tumour/stroma interface in human breast cancers. (A–C) HUGL-1 (A), YAP (B) and c-MYC/Cas3 (C) staining of an in situ carcinoma. The arrowheads in (C) highlight some stromal cells positive to Cas3 staining. (D–I) HUGL-1 (D,G), YAP (E,H) and c-MYC/Cas3 (F,I) staining of invasive carcinomas. The arrowheads in (F and I) indicate some stromal cells undergoing apoptotic death. (J–O) HUGL-1 (J,M), YAP (K,N) and c-MYC/Cas3 (L,O) staining of metastatic cancers. The arrow in (J) highlights a region of residual HUGL-1 protein localisation. The arrowheads in (L and O) indicate Cas-3 positive stromal cells. Scale bars are indicated in each frame.