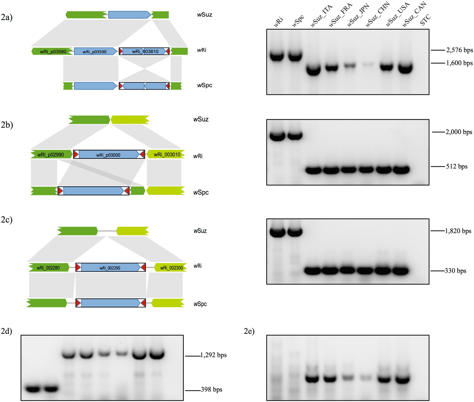
Figure 2

Inter-strain polymorphism between closely related wSuz, wSpc and wRi Wolbachia strains. Arrows with different shades of green represent different ORFs while the blue arrows represent transposase genes. Red arrowheads correspond to terminal inverted repeats (TIRs). A–C. wRi-specific IS loci (a) IS element present at locus IS1 belonging to ISWpi1 group shows inversion between wRi and wSpc, and absence from wSuz strain, (b) and (c) Two IS elements (loci ID- IS14 and IS22) show independent insertion events between wRi and wSpc however completely absent from wSuz genome. (d) wSuz-specific IS element (locus ID- IS31) belonging to ISWpi1 group shows insertion only in wSuz from all populations producing 1292 bps long amplicon, but absent from wRi and wSpc with 398 bps amplicon size. (e) Genomic rearrangement (GR1) showing amplification in wSuz only, absent in wRi and wSpc. Lanes from left: wRi, wSpc, wSuz_ITA, wSuz_FRA, wSuz_JPN, wSuz_CHN, wSuz_USA, wSuz_CAN and STC-Wolbachia negative control. The full-length gel pictures are presented in Supplementary Figure S2.