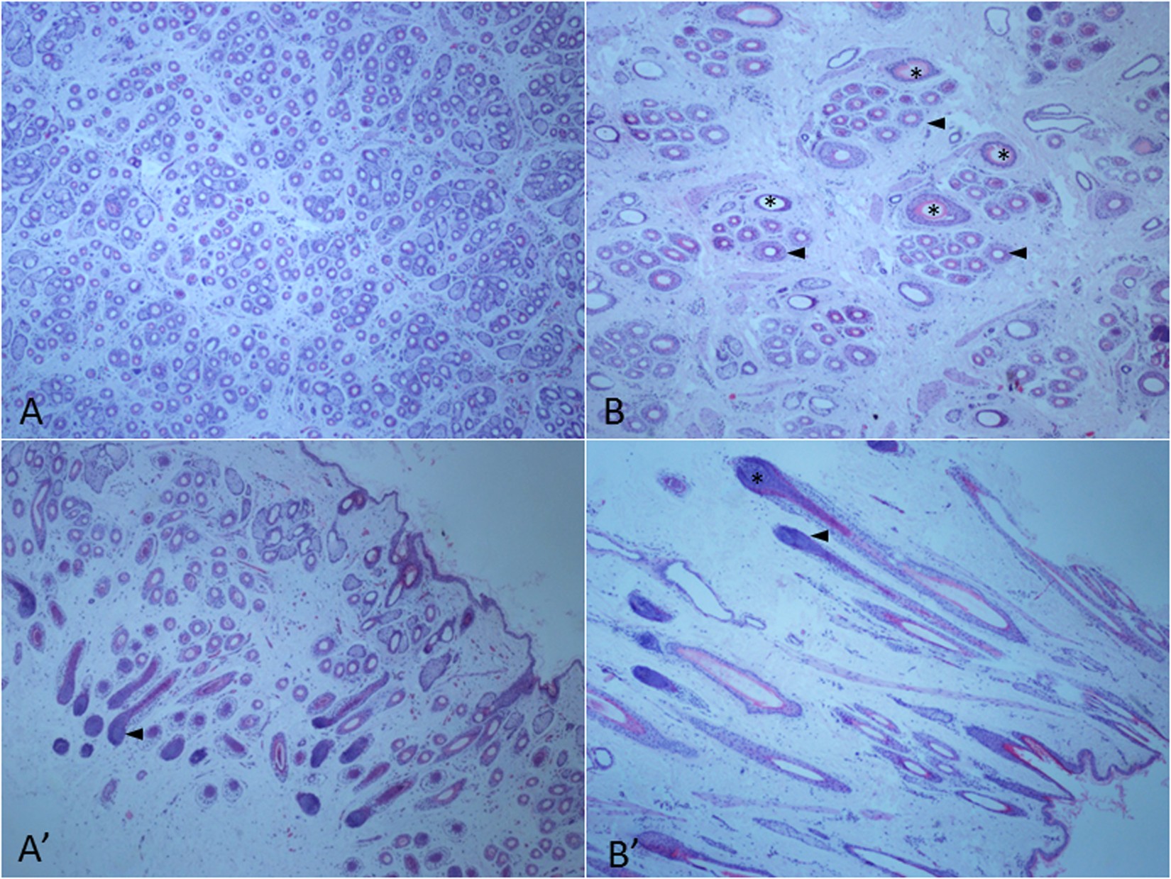
Figure 1

Histological analysis of fixed and hematoxylin-eosin stained skin tissue from Super Merino and Small Tail Han sheep shown at 40 × magnification. Representative primary wool follicles are indicated with stars and arrows indicate the secondary wool follicles. (A) Cross section SM sheep. (A’) Transverse section of SM sheep. (B) Cross section STH sheep. (B’) Transverse section of STH sheep.