Figure 1
From: Large-scale in vitro production, refolding and dimerization of PsbS in different microenvironments

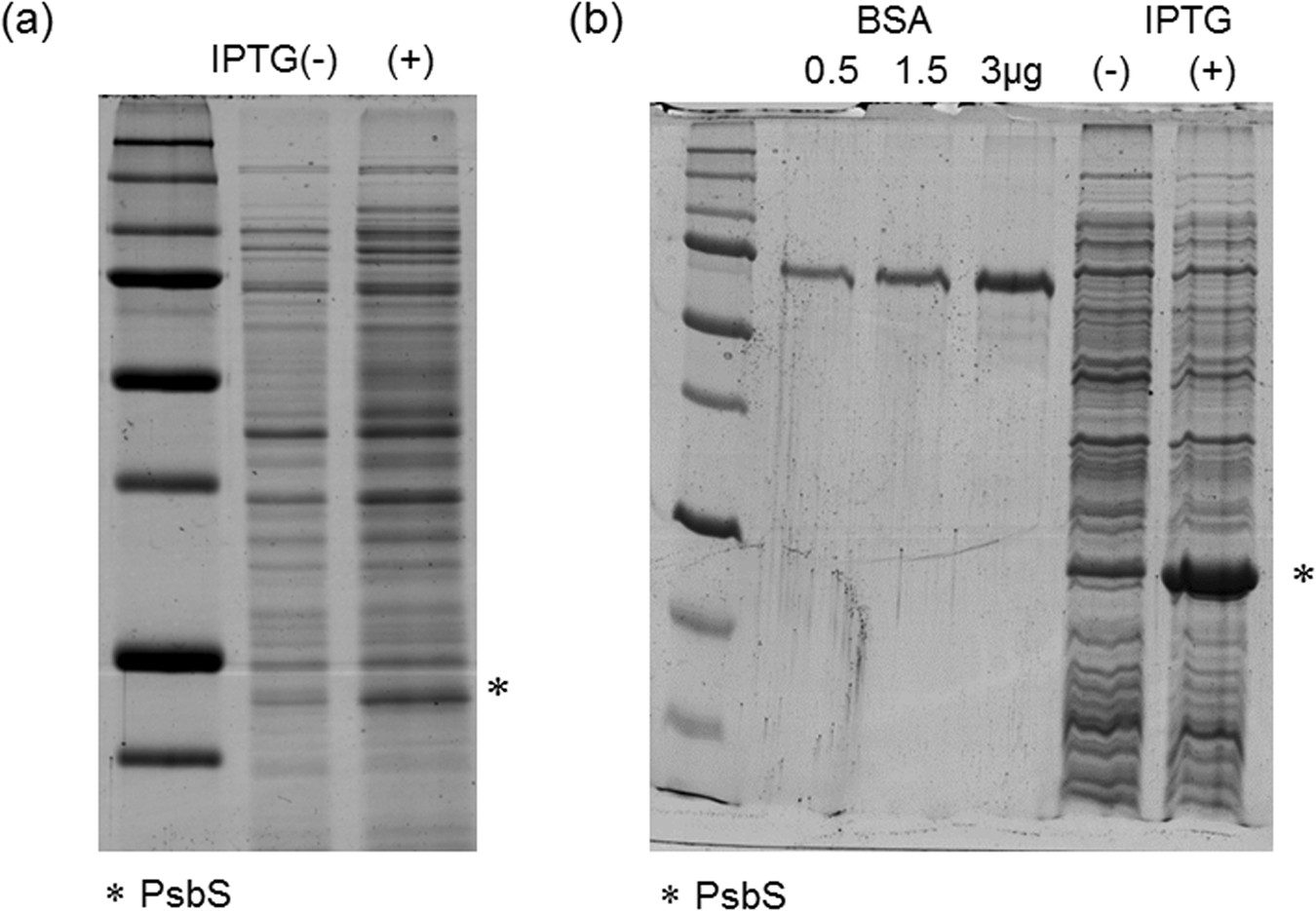
Overproduction of PsbS. (a) PsbS overexpression using the pETite vector (yield: ~9 mg from 200 mL cells); (b) PsbS overexpression using the pExp5 vector (yield: ~25 mg from 200 mL cells).