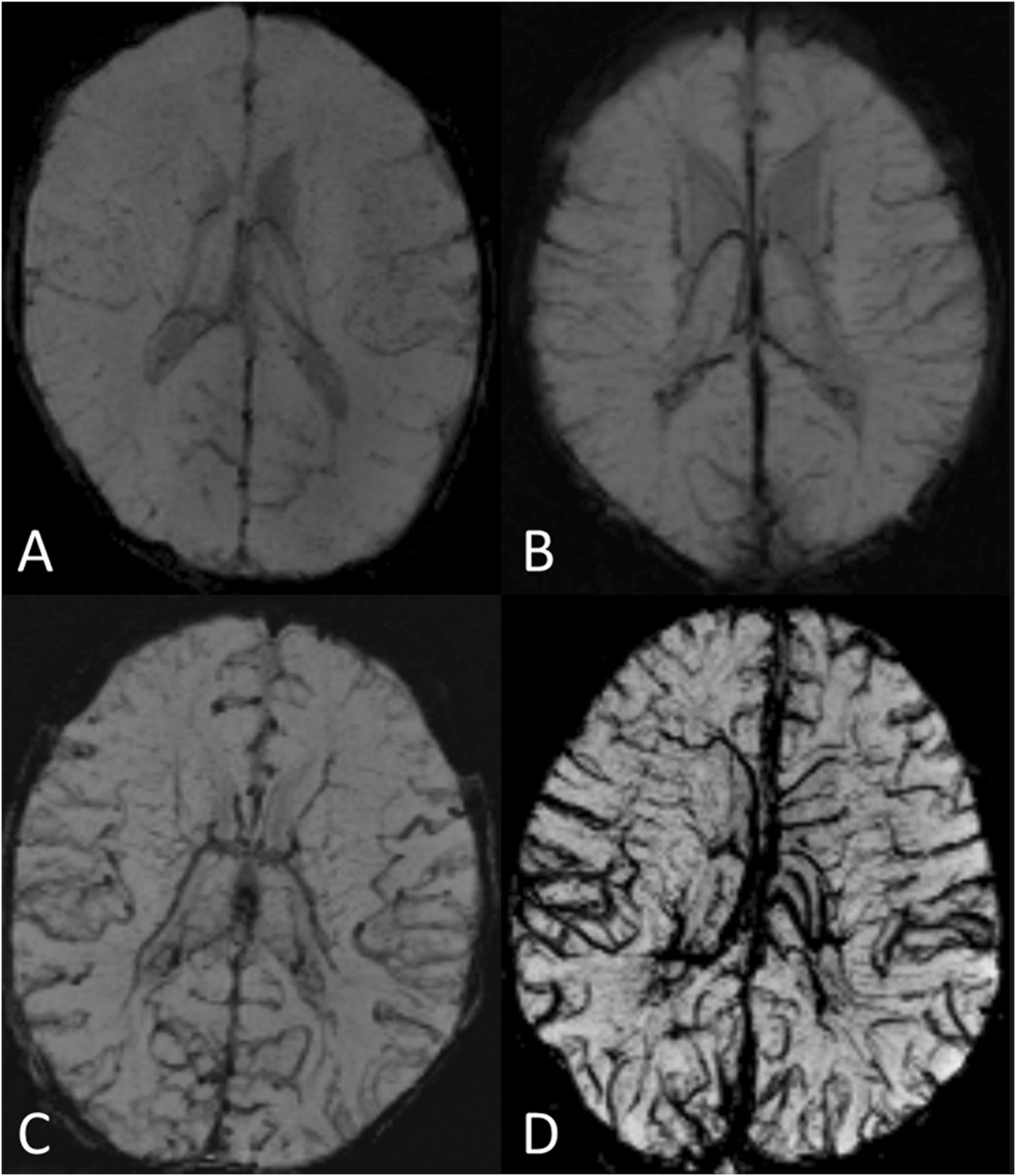
Figure 1

SWI images in minimum intensity projection (miP) as examples of grading of cerebral veins. (A) Grade O: normal appearance of cerebral veins (images of a 2-day-old healthy subject with normal art. oxygen saturation of 95%); (B) Grade 1: mildly prominent deeper veins and cortical veins (patient No. 5). (C) Grade 2: moderately prominent cortical and deeper veins (patient No. 8). (D) Grade 3: distinctly prominent cortical and deeper veins, prominent veins in the semioval centre bilateral (patient No. 1).