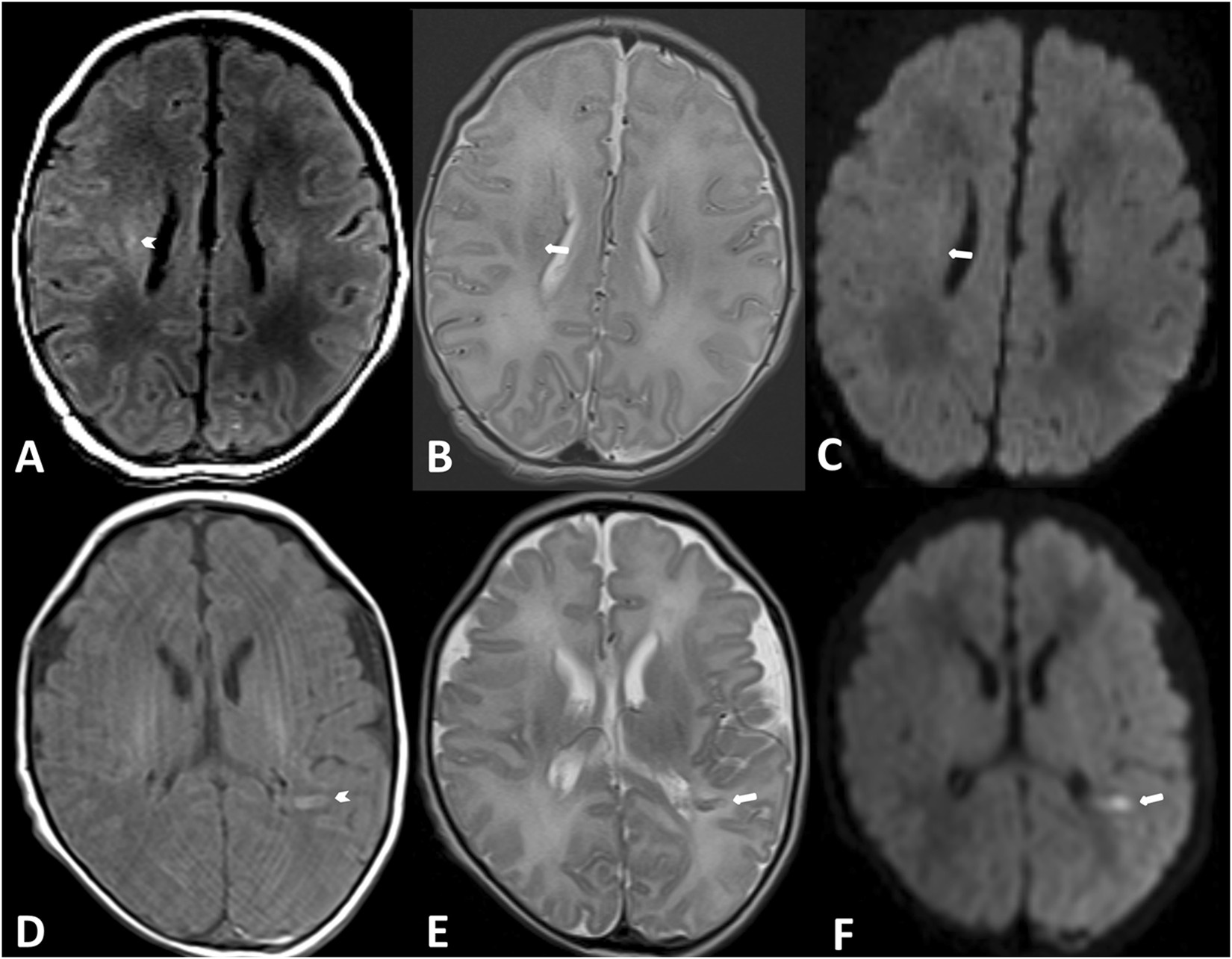
Figure 2

Examples of a WMI (upper row) and a stroke (lower row). A WMI is seen in the right semioval centre with T1w hyperintense signal intensity and no signal changes in T2w and DWI (patient No. 8). An acute stroke is seen in the white matter on the left, with signal changes in T1w and T2w and diffusion restriction in the DWI (patient No. 3).