Figure 4
From: A Feline HFpEF Model with Pulmonary Hypertension and Compromised Pulmonary Function

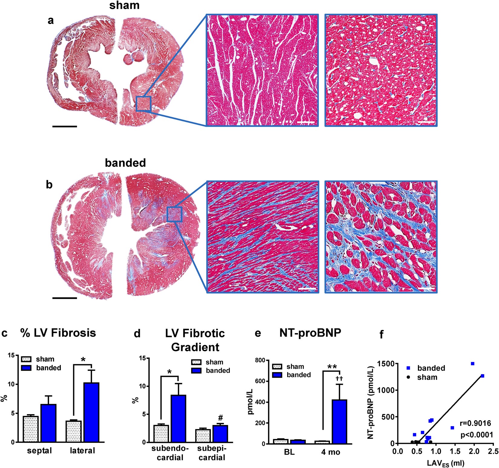
LV fibrosis and NT-proBNP. (a,b) Bright-field micrographs of LV tissue section stained with Masson’s trichrome indicating an increase in blue-stained fibrotic area in banded (b) vs sham (a) cats. Scale bars from left to right: 5 mm, 250 µm, and 50 µm. (c) Quantification of fibrotic area in septal wall and lateral wall revealed an increase in banded vs sham cats. (d) LV fibrosis was more pronounced in subendocardial layers and decreased moving outwards to the subepicardial layers in banded cats. ( e ) Banded cats had elevated NT-proBNP plasma levels at 4-months post-banding compared to sham cats. (f) Correlation between LAVES and NT-proBNP. *p < 0.05, **p < 0.01 between groups. ††p < 0.01 vs BL. #p < 0.05 vs subendocardial. BL = baseline, LAVES = left atrial end-systolic volume, NT-proBNP = N-terminal pro-brain natriuretic peptide.