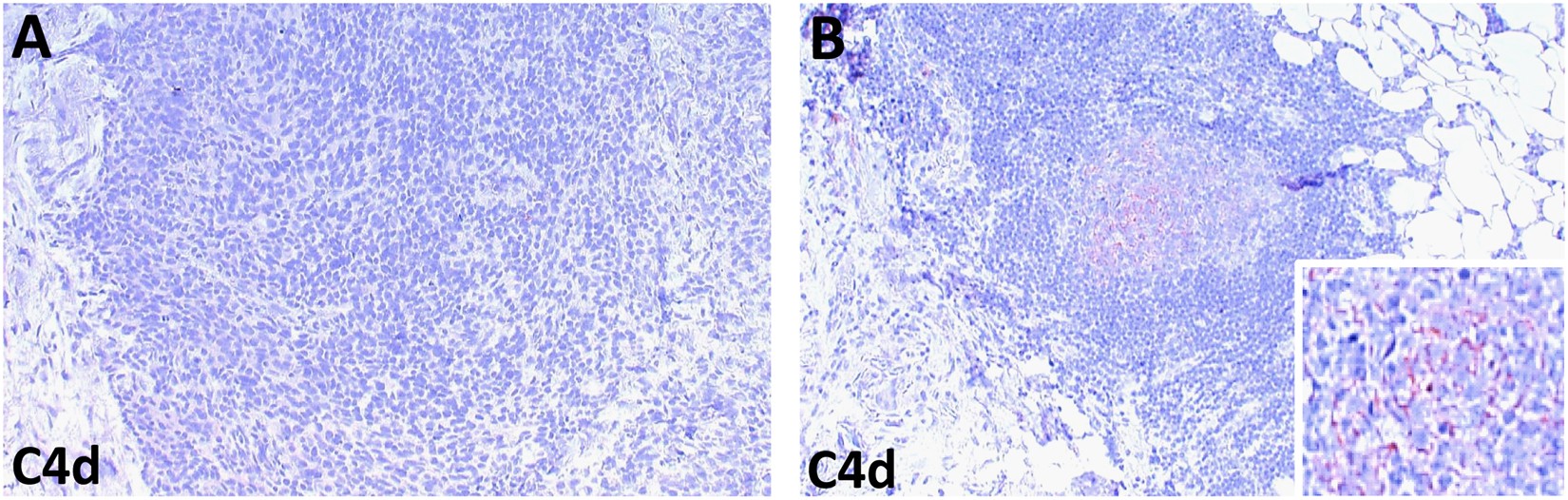
Figure 1

Tissue expression of C4d in MPM. (A) There was no C4d labeling found in MPM cells. (B) However, strong C4d expression was observed in the germinal center of ectopic lymphoid structures. The plasma membrane specific labeling is demonstrated in the high magnification inset.