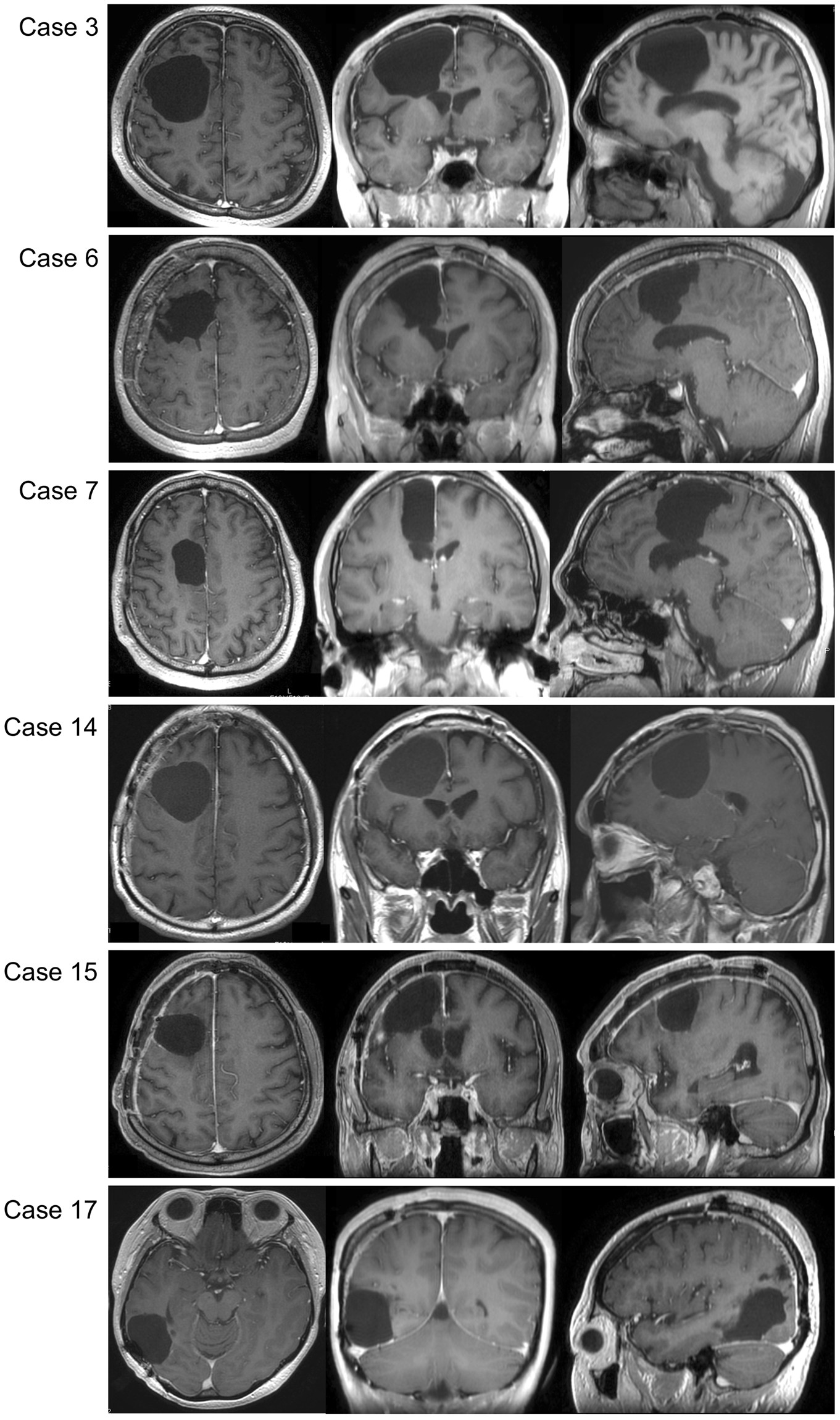
Figure 5

Postoperative MR images of patients whose visuospatial cognitive lasted ≥3 months. In the left, middle and right columns, T1 weighted MR images of axial, coronal, and sagittal slices, respectively, are shown for each patient. Resection cavities are in the middle frontal gyrus and/or superior frontal gyrus including the medial region in patients with frontal lesion.