Figure 1
From: Identification of long non-coding RNAs in the immature and mature rat anterior pituitary

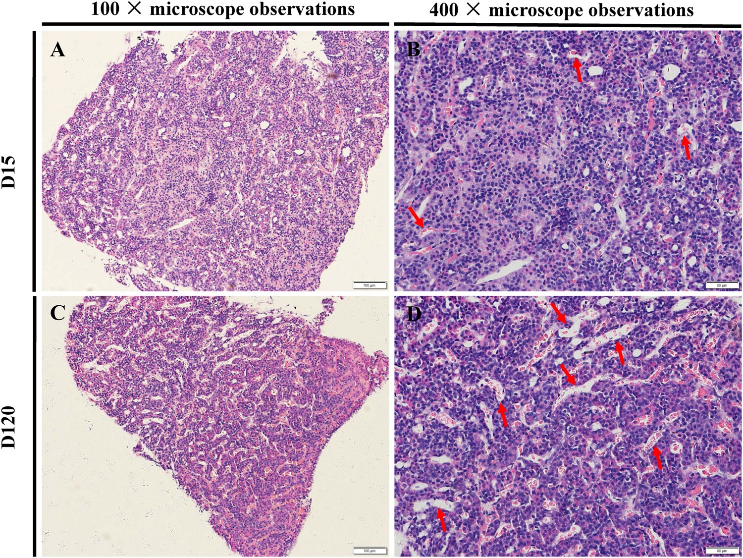
Morphology of immature and mature pituitary tissues. (A and B) Morphology of immature anterior pituitary tissue under 100× and 400× magnification, respectively. (C and D) Morphology of the mature anterior pituitary tissue under 100× and 400× magnification, respectively. The red arrows point to capillaries.