Figure 5
From: Identification of long non-coding RNAs in the immature and mature rat anterior pituitary

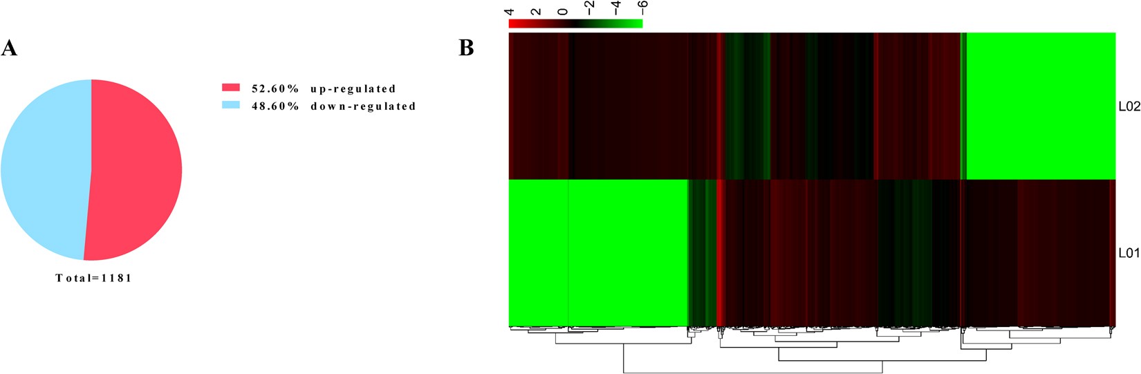
Differentially expressed lncRNAs in the immature and mature rat anterior pituitary. (A) Proportion of up-regulated and down-regulated lncRNAs in the rat anterior pituitary at different developmental stages. (B) Analysis of the expression pattern of differentially expressed lncRNAs. The highest to lowest fold changes are marked from red to green, respectively.