Figure 4
From: A vacuolar sorting receptor-independent sorting mechanism for storage vacuoles in soybean seeds

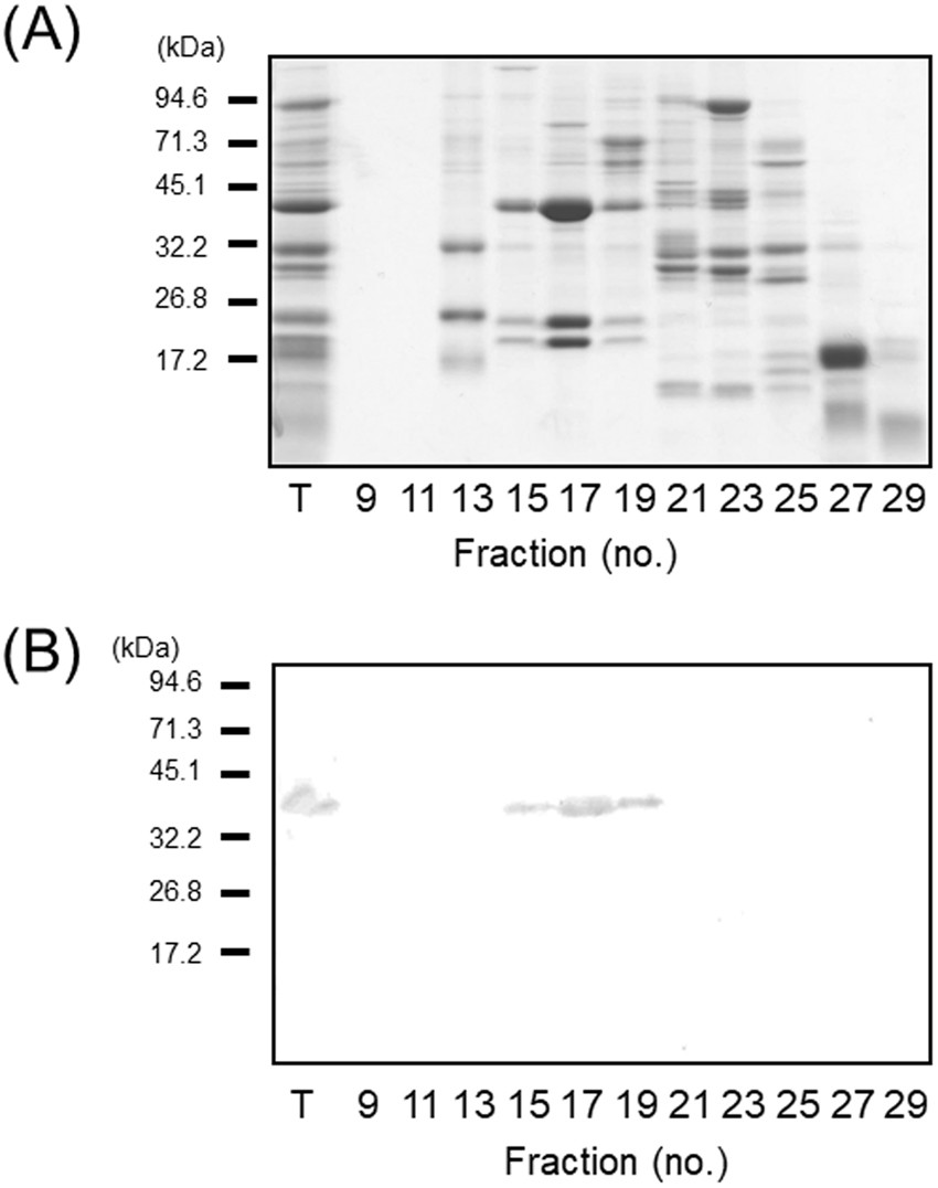
Self-assembly of the A3B4 subunit in transgenic soybean seeds, as determined by gel-filtration chromatography. (A) Gel-filtration elution profile of the soluble fractions using a Hi-Load 16/600 Sephacryl 200 pg column operated at 3.5 min/fraction and a flow rate of 1 mL/min. Under identical conditions, blue dextran (2000 kDa), thyroglobulin (669 kDa), ferritin (440 kDa), aldolase (158 kDa), conalbumin (75 kDa), and ovalbumin (44 kDa) as molecular mass markers were detected in fractions 12, 15, 17, 20, 22, and 24, respectively. (B) Western blotting of fractions obtained by gel-filtration chromatography using an anti-A3B4 antibody.