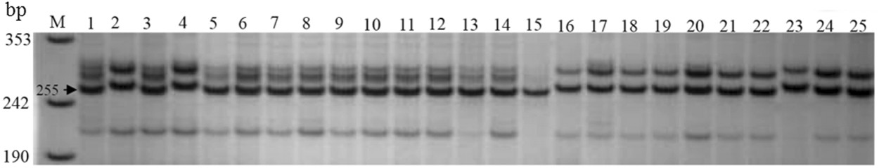
Figure 4

Amplification patterns of the marker Cfd81 on Subtil, documented stocks with Pm2 alleles and several wheat cultivars for validation of MAS. Lanes 1–25 are Subtil, Hengguan35, Resistance bulked pool, Susceptible bulked pool, Ulka/*8 Cc, KM2939, Niaomai, Brock, D57-5D, Liangxing 66, X3986-2, Zhongmai 155, Wennong 14, FG-1, Tabasco, Shi 4185, Shimai 15, Gao 8901, Han 6172, Han 7086, Kenong 9204, Jishi 02-1, Aikang 58, Baichun 5, Zhengmai 9023; M: pUC19/MspI; Black arrow indicates the polymorphic band in Subtil.