Figure 4

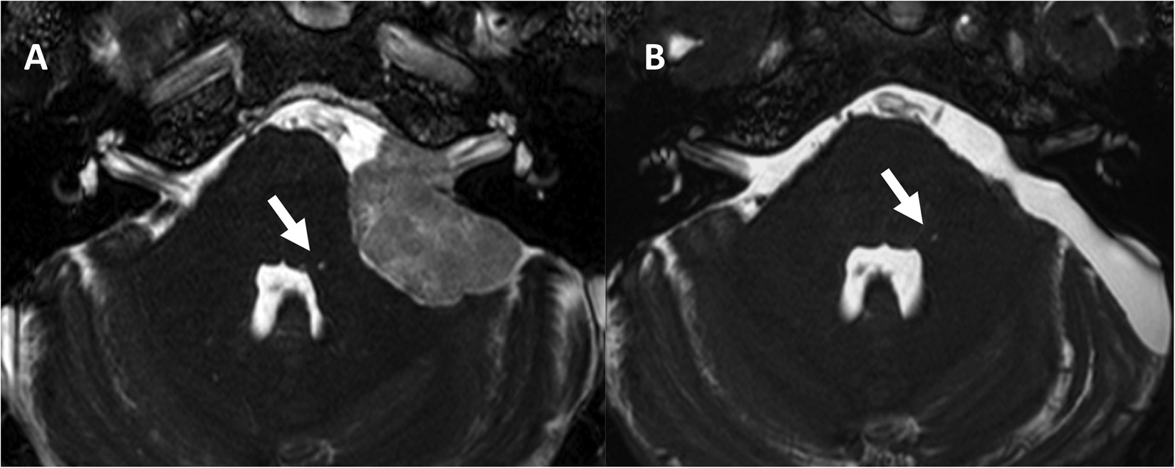
Representive preoperative Gd-enhanced b-FFE MR image of the FHI (arrow) in a patient with cerebellopontine angle meningioma (A). Postoperative (B) b-FFE image shows complete resection of tumor and no signal change of FHI (arrow).

Representive preoperative Gd-enhanced b-FFE MR image of the FHI (arrow) in a patient with cerebellopontine angle meningioma (A). Postoperative (B) b-FFE image shows complete resection of tumor and no signal change of FHI (arrow).