Figure 2
From: The Direction of Tumour Growth in Glioblastoma Patients

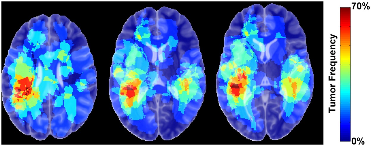
The frequency of tumour occurrence. Three axial slices are illustrated, indicating a predominance tumour occurrence within the temporal lobes.
From: The Direction of Tumour Growth in Glioblastoma Patients

The frequency of tumour occurrence. Three axial slices are illustrated, indicating a predominance tumour occurrence within the temporal lobes.