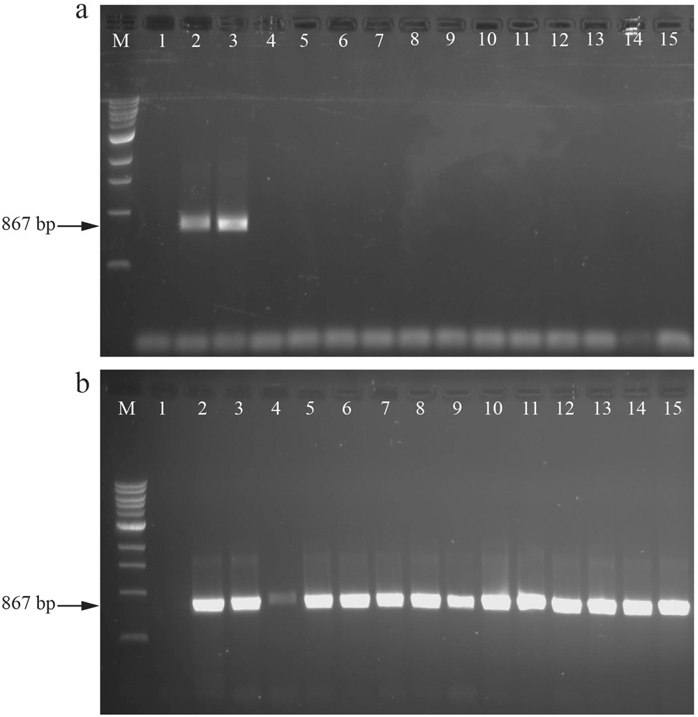
Figure 2
From: African ancestry of New World, Bemisia tabaci-whitefly species

A comparison of the performance of the old (a) [MT10/C1-J-2195:MT12/TL2-N-3014] - Lane 1, negative control (no DNA template); lane 2 and 3, positive (whitefly DNA) controls; lane 4–15, whiteflies collected from mint (lanes 4–7), sesame (lanes 8–11) and sunflower (lanes 12–15) and new (b) [2196Bt:CO12/Bt-sh2] primer set with successful amplification using the same order of specimens. M, 1Kb plus molecular weight marker (BIOLABS, UK).