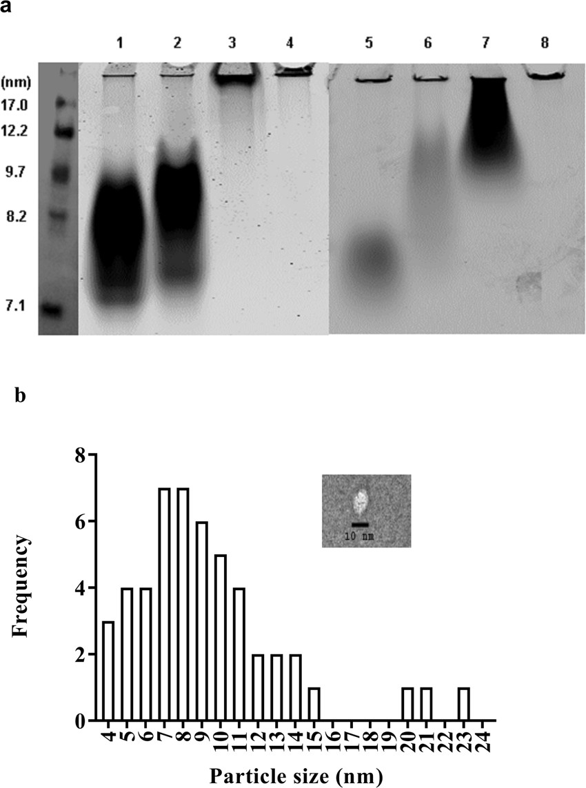
Figure 3

ELK-generated particle size by native gel electrophoresis and TEM. (a) Lipid particles generated by incubation of peptides with DMPC lipid vesicles (lanes 1 = neu, 2 = hyd, 3 = pos, 4 = neg) and a mixture of natural lipids found in cellular membranes (lanes 5 = neu, 6 = hyd, 7 = pos, 8 = neg). Both types of lipids were suspended in PBS at 1 mg/ml along with 0.5% PE-rhodamine. The vesicles were incubated with 0.5 mg/ml peptides in PBS at room temperature for 2 hours with gentle shaking. The lipid particles formed by peptides were separated in a 1D native TBE gel and scanned using a Typhoon scanner. (b) Particle size distribution after reconstitution of neu with phospholipid and cholesterol (neu:POPC = 1:6.25 and cholesterol:POPC = 1:10). Mean size of particles is 9.2 nm. Inset shows a TEM image of a representative particle made with neu. Scale 10 nm, magnification 50000X. Uncropped images of Fig. 3 are provided in Supplementary Figures 2, 3 and 4.