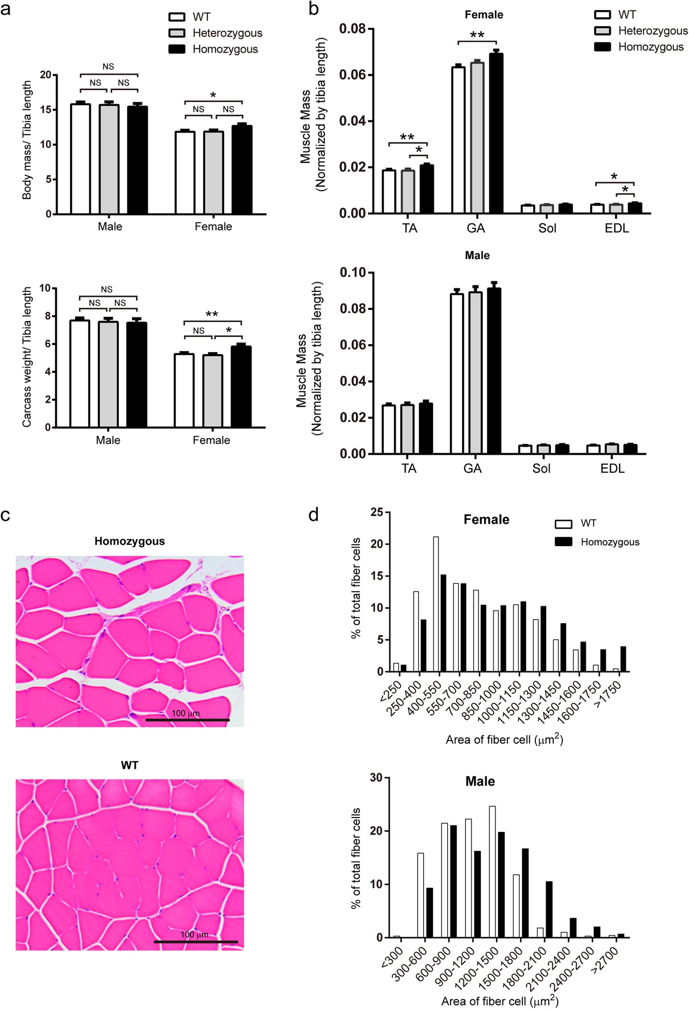
Figure 6

Detection of skeletal muscle hypertrophy in a genetically modified mouse model. (a) Average body mass (top) and carcass weight (bottom) of the three-month-old GM mice and sex-matched WT littermates (n = 8–15 per group). The body mass and carcass weight were normalized to the length of the tibia, respectively. (b) Determination of the muscle weight of the three-month-old GM mice and WT littermates (top, female mice; bottom, male mice). The data indicate the average weight of the muscles from the left and right sides. The muscle weight is normalized to the length of the tibia. (n = 10 for female homozygous GM mice, n = 8 for female heterozygous GM mice, and n = 15 for female WT mice; n = 10 for male homozygous GM mice, n = 8 for male heterozygous GM mice, and n = 12 for male WT mice). (c) Representative images of H&E-stained cross-sections of the TA muscle from three-month-old female GM mice and WT littermates. (d) CSA frequency distribution of myofibres in the TA muscle from three-month-old GM mice and sex-matched WT littermates (sections from at least five mice per group). Bars depict mean values, and error bars represent SEM. *P < 0.05, **P < 0.01. Statistical significances were analysed by Student’s t-test.