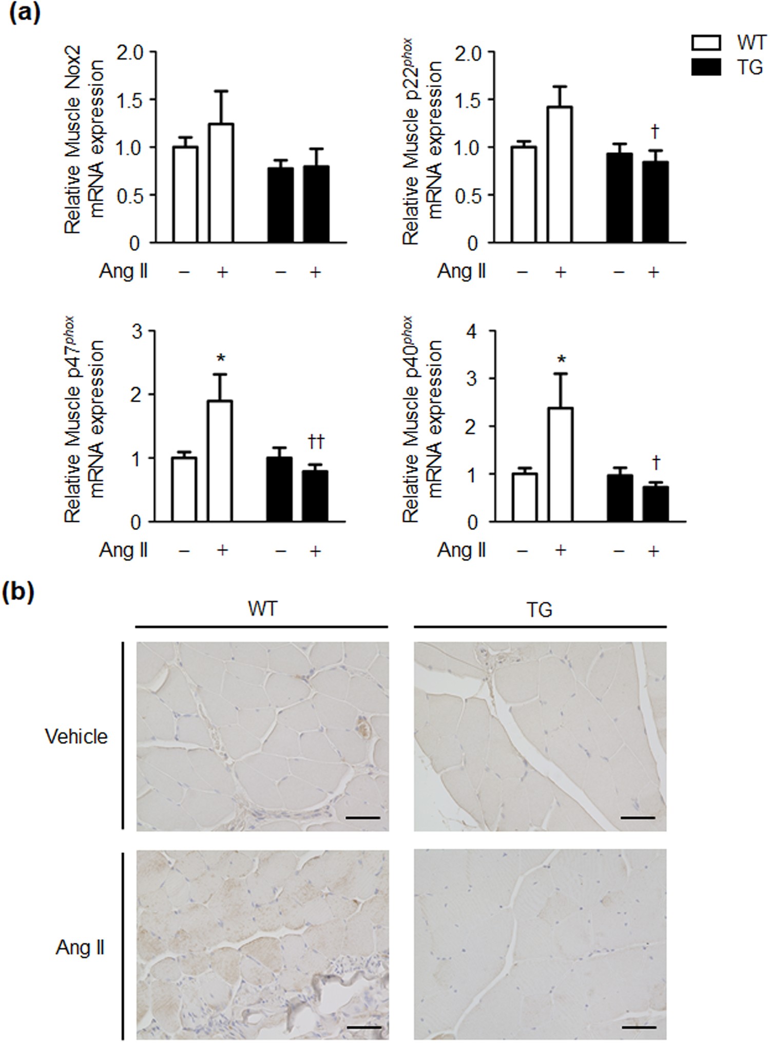
Figure 5

Ang II-induced enhancement of NADPH oxidases and ROS is suppressed in skeletal muscle tissue of TG mice. (a) Relative NOX2, p22phox, p47phox, and p40phox mRNA expression levels in skeletal muscle tissue of WT and TG mice after 2 weeks of vehicle or Ang II infusion. (b) Representative images of immunohistochemical staining for 4-HNE in skeletal muscle tissue of WT and TG mice after 2 weeks of vehicle or Ang II infusion (magnification, ×400; scale bar = 100 μm). Values are expressed as mean ± SE (n = 5 in each group) *P < 0.05, vs vehicle; †P < 0.05, ††P < 0.01, vs WT mice. WT, wild-type; TG, ATRAP transgenic mice; Ang II, angiotensin II.