Figure 2
From: Expression and replication of virus-like circular DNA in human cells

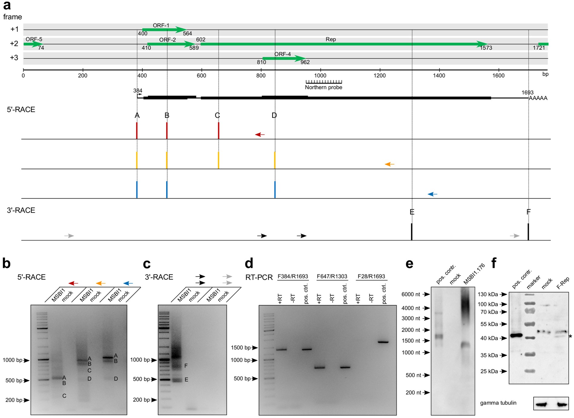
Definition of messenger RNAs transcribed from MSBI1.176. (a) Linear representation of the MSBI1.176 genome including ORFs larger than 40 amino acids for the sense strand. The position of the RNA probe for northern blot analyses (Fig. 2e) is indicated. For 5′-RACE, primers located in different regions of the Rep-ORF were used (indicated as red, yellow and blue arrows). Each reproducibly detected transcription start site for each primer is plotted against the location within the genome. For 3′-RACE, nested PCRs were performed with the indicated primers (black and grey arrows). Each reproducibly detected polyadenylation site is plotted against the location within the genome. Putative transcripts arising from the combination of the 5′- and 3′-RACE results, whose existence was supported by northern blot, and their coding potentials are shown. (b) Agarose gel image of the MSBI1.176-specific 5′-RACE products obtained by PCR using the primers indicated in panel (a). cDNA of mock-transfected cells was used as a negative control. Specific start sites are indicated by letters according to panel (a). (c) Agarose gel image of the respective 3′-RACE products obtained by nested PCR using the primers indicated in panel (a). Specific polyadenylation sites are indicated as letters according to panel (a). (d) Validation of continuous transcripts using RT-PCR. Total RNA of MSBI1.176-transfected cells was reverse transcribed using oligo-dT primers (+RT) and the resulting cDNA was subjected to PCR reactions using the indicated primer combinations. RT reactions lacking reverse transcriptase served as negative controls (−RT) and PCR reactions using linearized MSBI1.176 DNA as a template served as a positive control.(e) Northern blot validation of MSBI1.176 transcripts in HEK293TT cells using an antisense RNA probe as indicated in (a). Mock-transfected cells served as a negative control circular MSBI1.176 genome served as a positive control. (f) Detection of MSBI1.176 Rep translation in HEK293TT cells transfected with a genome version containing a N-terminal FLAG tag fused to the Rep ORF (F-Rep) using an anti-FLAG antibody. An overexpressed Rep-FLAG fusion protein was used as a positive control and total protein of mock-transfected cells was used as a negative control. Gamma tubulin was used as a loading control.