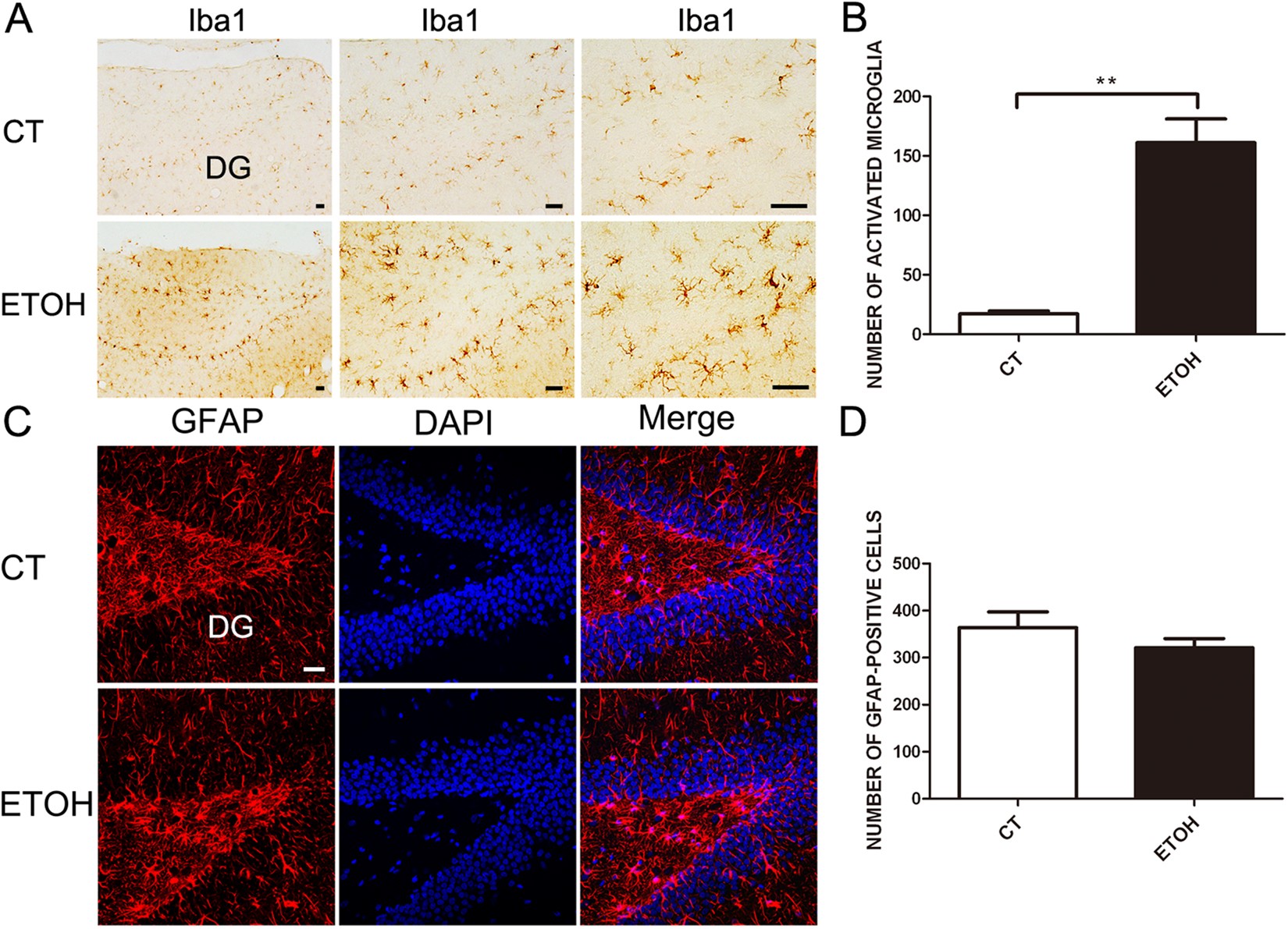
Figure 3

Binge alcohol exposure causes neuroinflammation in the hippocampus of adolescent rats. Adolescent rats were treated with alcohol and processed as describe in Fig. 1. The activation of microglia and astrocytes was examined by IHC and immunofluorescence staining using antibodies directed against Iba-1 (A) and GFAP (C), respectively. Bars = 50 μm. The number of activated micoglia and astrocytes was determined and shown in panel B and D, respectively. n = 5 for each group. Data were presented as mean ± SEM; CT: 17 ± 2.65, ETOH: 161 ± 20 **p = 0.0021; CT: 364 ± 33.45, ETOH: 321 ± 19.5 p = 0.3290.