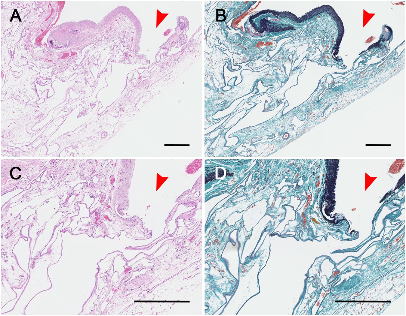
Figure 3

Histological findings 28 days after the patch procedure. (A and B) Histology of the arterial patch on the left common jugular vein on day 28 showed that new blood vessels had opened at the margin of the arterial patch (A: Haematoxylin-Eosin-stain, 40×; B: Elastica-Masson-stain, 40×). (C and D) The new blood vessels had thin walls and extended in an irregular fashion (C: Haematoxylin-Eosin-stain, 150×; D: Elastica-Masson-stain, 150×). Scale bar for (A–D) = 0.5 mm. The red arrowhead indicates the opening of a new blood vessel.