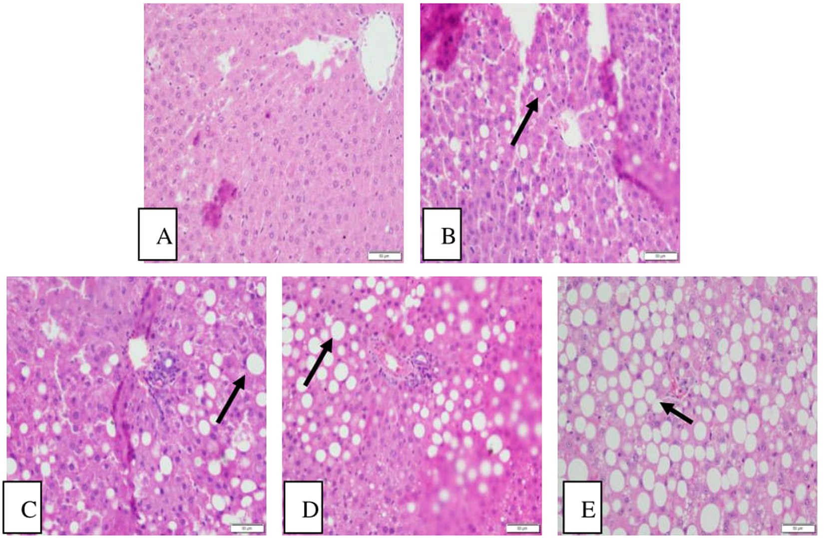
Figure 9
From: Nonylphenol aggravates non-alcoholic fatty liver disease in high sucrose-high fat diet-treated rats

Histopathological results in the liver (200×). (A) C-ND group; (B) C-HSHFD group; (C) NP-L-HSHFD group; (D) NP-M-HSHFD group; (E) NP-H-HSHFD group.