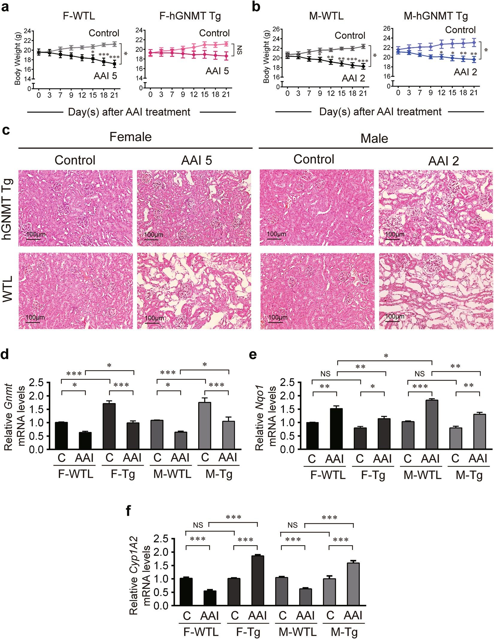
Figure 2

GNMT plays a protective role in AAI-induced renal damage. (a,b) Body weight of hGNMT transgenic (hGNMT Tg) mice and their wild-type littermates (WTL) intraperitoneally injected with 2 or 5 mg/kg BW/day AAI (AAI 2 or AAI 5) or corn oil (vehicle control), 5 days a week for 3 weeks. F: female; M: male. Values are presented as the mean ± SEM, n = 4. p-values were calculated by two-way ANOVA and Sidak’s multiple comparisons test. (c) Histological examination of the kidney morphology after AAI administration in GNMT Tg and WTL mice (hematoxylin and eosin stain, original magnification ×200). (d–f) mRNA level of Gnmt, Nqo1 and Cyp1A2 genes in the liver of AAI- or corn oil-treated GNMT Tg and WTL mice were determined by qPCR. Data were normalized to β-actin. C: vehicle control. Values are presented as the mean ± SEM, n = 5. p-values were calculated using Student’s t-test. *p < 0.05, **p < 0.001, ***p ≤ 0.0001.