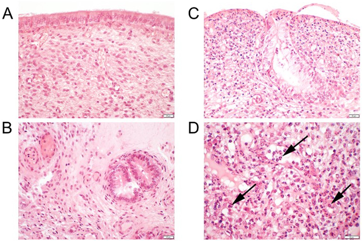
Figure 6

Biopsy samples of the endometrium of one cow from the B/LAC group. Hematoxylin and eosin staining; 2 µm thickness. (A and B) prior to the intrauterine administration of L. buchneri DSM 32407; no infiltration of immune cells, integrity of the mucosa and status of proliferation without pathological findings. (C and D) 7 days after the intrauterine administration of L. buchneri DSM 32407; moderate mainly granulocytic infiltration (arrows) and moderate multifocal degeneration.