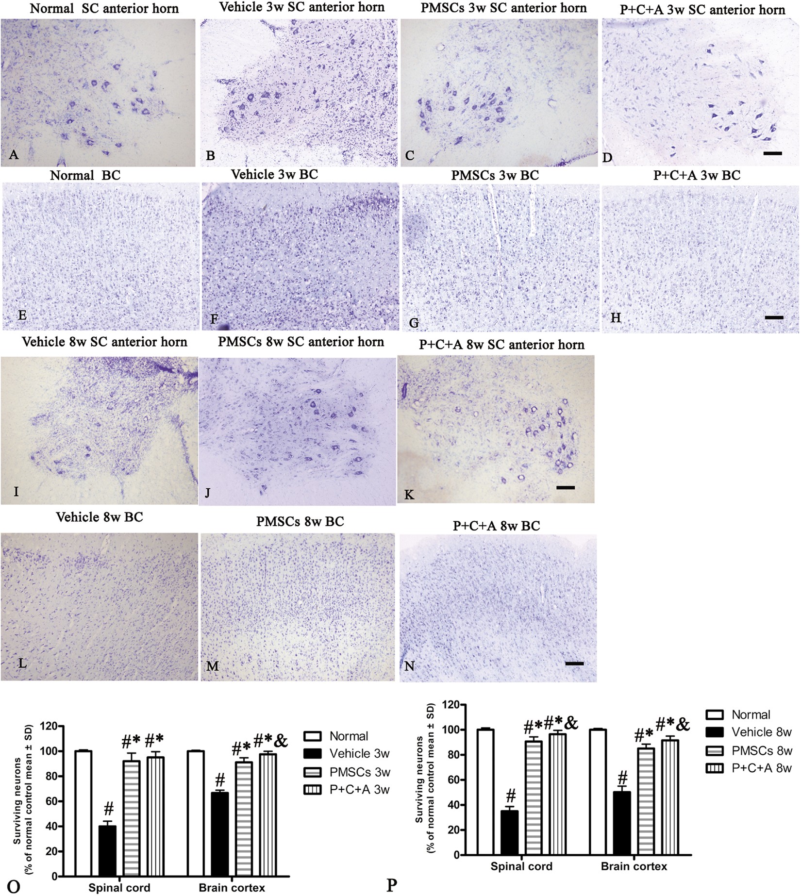
Figure 9

Intravenous C16 and Ang-1 enhanced the efficacy of PMSC therapy for preventing neuronal loss in the EAE rat model. (AāN) Nissl staining of brain cortex and spinal cord specimens at 3 and 8 weeks pi. SC denotes transverse sections through the anterior horn of the lumbar spine, and BC denotes coronal sections of the motor cortex. Scale bars, 100āµm. (O,P) Relative numbers of surviving neurons at 3 (O) and 8 (P) weeks pi. nā=ā5, #Pā<ā0.05 vs. normal, *Pā<ā0.05 vs. vehicle, &Pā<ā0.05 vs. PMSCs. (O) In SC, PMSCs vs. vehicle: ESā=ā0.87, Pā<ā0.0001; Pā+āCā+āA vs. vehicle: ESā=ā1.42, Pā<ā0.0001; Pā+āCā+āA vs. PMSCs: ESā=ā0.05, Pā=ā0.21. In BC, PMSCs vs. vehicle: ESā=ā1.37, Pā<ā0.0001; Pā+āCā+āA vs. vehicle: ESā=ā2.94, Pā<ā0.0001; Pā+āCā+āA vs. PMSCs: ESā=ā0.36, Pā=ā0.004. (P) In SC, PMSCs vs. vehicle: ESā=ā2.08, Pā<ā0.0001; Pā+āCā+āA vs. vehicle: ESā=ā2.72, Pā<ā0.0001, Pā+āCā+āA vs. PMSCs: ESā=ā0.28, Pā=ā0.009. In BC, PMSCs vs. vehicle: ESā=ā0.97, Pā<ā0.0001; Pā+āCā+āA vs. vehicle: ESā=ā1.2, Pā<ā0.0001; Pā+āCā+āA vs. PMSCs: ESā=ā0.28, Pā=ā0.01.