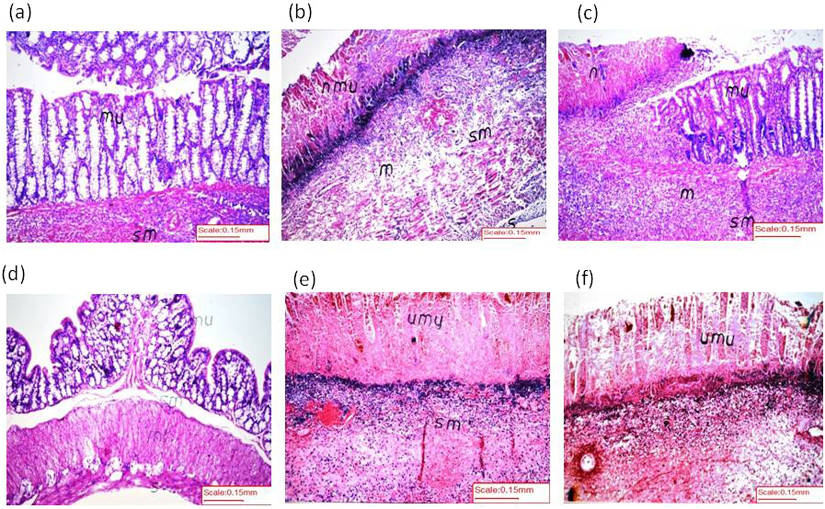
Figure 7

Effect of Galantamine (Galan) on histopathological changes of rat colon in TNBS model of colitis. (a) Normal control rat: normal histological structure of mucosa [mu] and submucosa [sm], (b) TNBS control rat showing wide area of ulceration, necrosis [nmu] and puss formation [S] in mucosal layer along with massive inflammatory cell infiltration [m] in submucosa [sm], (c) Sulfasalazine pretreated rat showing a focal area of necrosis [n] with ulceration and inflammatory cells infiltration [m] in mucosa and submucosa [sm], while the other adjacent wide area of the mucosa [mu] was intact, (d) Galan (10 mg/kg) pretreated rat showing normal histopathlogical structure of mucosa [mu], submucosa [sm], muscularis [ml] and serosa [s], (e) Rat pretreated with methylcaconitine citrate (MLA, 5.6 mg/kg) showing necrosis, ulceration and hemorrhage in the mucosal layer [umu] with inflammatory reaction in the underlying submucosa [sm], (f) Rat pretreated with Galan10 and MLA showing focal necrosis, ulceration and hemorrhage in the mucosa [umu] with inflammatory reaction and suppuration in the underlying submucosa. (H&E staining, ×16 original magnification).