Figure 1
From: Loss of Stemness, EMT, and Supernumerary Tooth Formation in Cebpb−/−Runx2+/− Murine Incisors

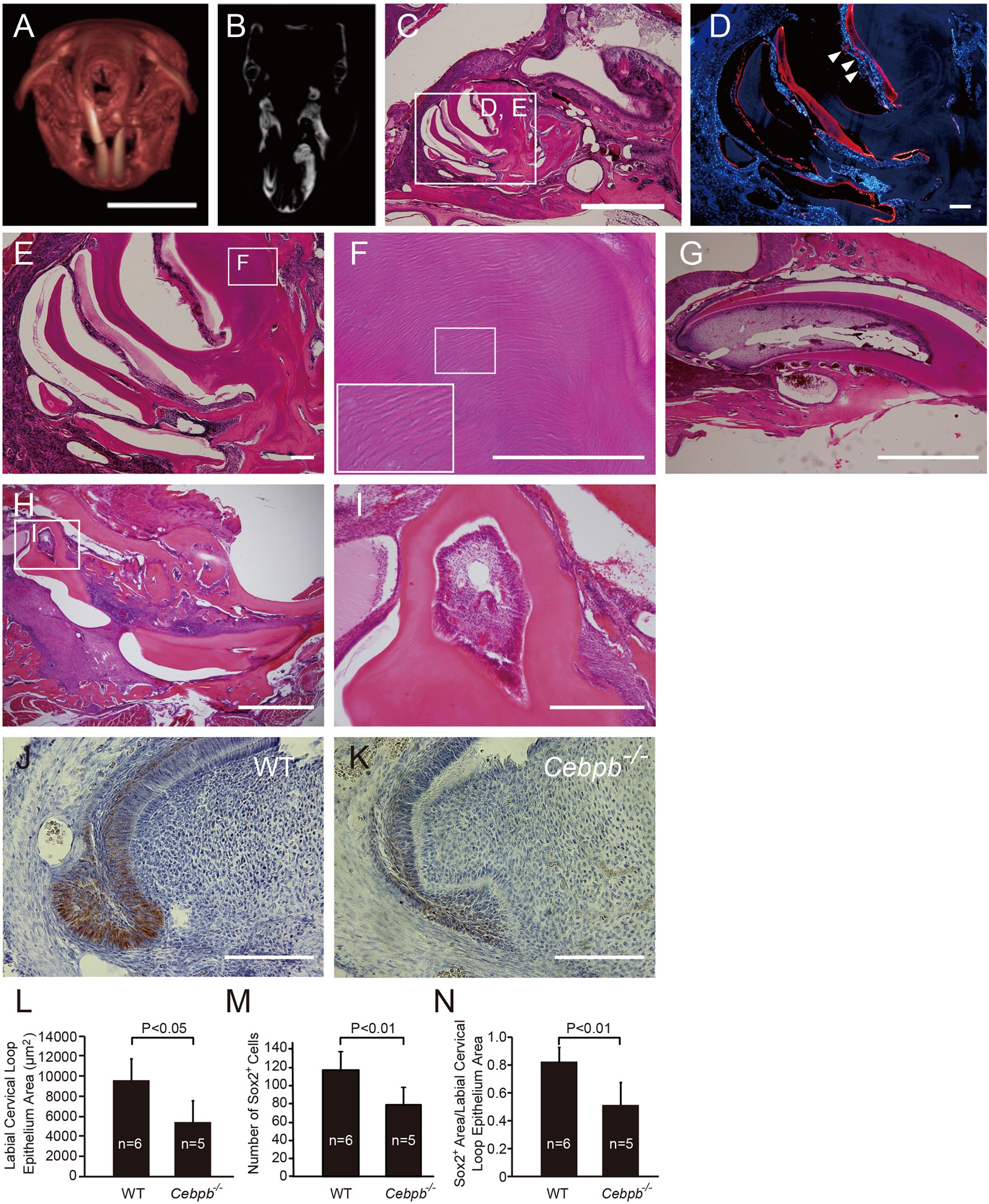
Phenotypes of incisors in Cebpb−/− mice maintained in a 129 Sv background. (A) Three-dimensional image of the skull. The left incisor is short. Scale bar: 10 mm. (B) Micro-computed tomography (CT) axial section image at the level of the maxillary incisor. Left incisors are deformed. (C) Sagittal hematoxylin-eosin (H&E)-stained section of the left upper incisor. Ectopic marked growth of dentin and enamel is observed in the apical region of the left incisor. Scale bar: 1 mm, 40×. (D) Amelogenin immunostaining (red) and Hoechst nuclear staining (blue). Amelogenin is observed in the hypocalcification site. Mature enamel was removed from this decalcified section leaving a clear enamel space (ES). Arrowheads indicate epithelial pearls. Scale bar: 100 μm, 100×. (E) Many dental tubules can be seen in dentin, which is also more abundant. Derangement of ameloblasts are observed near enamel matrix. Scale bar: 100 μm, 200×. (F) Magnified image of dental tubules in dentin. Scale bar:200 μm. 400× Inset: 1000×. (G) Nearly normal development of the right incisor. Ameloblasts, enamel-producing cells, are arranged in a single-cell row. Odontoblasts, dentin-producing cells, line the pulp cavity. Increased dentin is observed in both the labial and lingual side. Miniaturization of the labial cervical loop epithelium is seen. Scale bar: 1 mm, 40×. (H) Sagittal H&E-stained section of the left mandibular incisor of a 10-month-old mouse. Scale bar: 2 mm, 20×. (I) The boxed region in H. A mature tooth structure with pulp enclosed with dentin in a different direction is observed in a periapical region of a mandibular incisor. Scale bar: 500 μm, 100×. (J) SRY (sex determining region Y)-box 2 (Sox2)-Positive cells in a maxillary incisor labial cervical loop epithelium of 1-month-old wild-type (WT) mice. Scale bar: 100 μm, 400×. (K) Sox2-Positive cells in a maxillary incisor labial cervical loop epithelium of 19-month-old Cebpb−/− mice. Scale bar: 100 μm, 400×. (L) Comparison between WT and Cebpb−/− mice. Y-axis indicates the labial cervical loop epithelium area; X-axis indicates genotypes. (M) Comparison between WT and Cebpb−/− mice. Y-axis indicates number of Sox2-positive cells in the labial cervical loop epithelium; the X-axis indicates genotypes. (N) Comparison between WT and Cebpb−/− mice. Y-axis indicates Sox2-positive area in the labial cervical loop epithetium area; X-axis indicates genotypes.