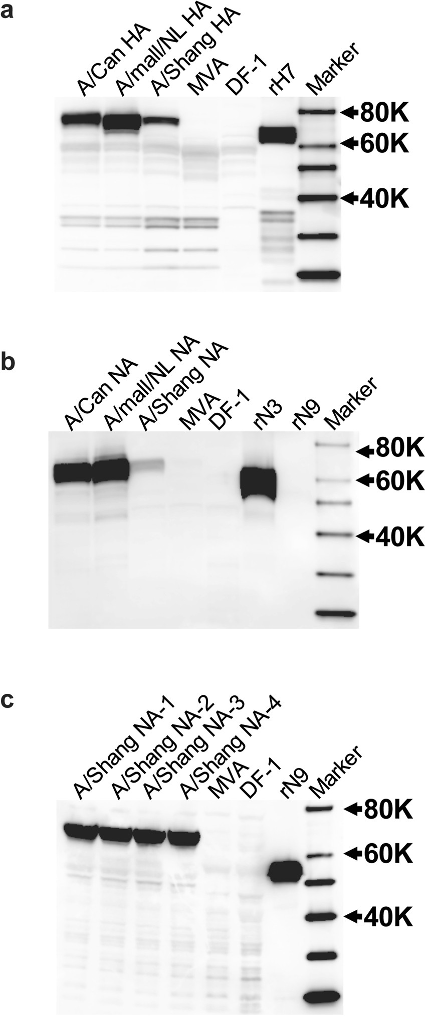
Figure 1

Western blot analysis of recombinant MVA vectors expressing influenza HA or NA. CEF cells were infected with MVA-HA or MVA-NA vectors at an MOI of 1.0. Infected cells were harvested after 48 hours and the cell lysates resolved by SDS-PAGE (4–12% gels). Proteins were transferred onto nitrocellulose membranes and probed with a polyclonal rabbit anti-H7 (A/Shanghai/02/2013 (H7N9)) for the detection of H7 (a), a polyclonal goat anti-N3 (A/turkey/England/1963 (H7N3)) for the detection of N3 (b), or with a polyclonal goat anti-N9 (A/tern/Australia/G70C/1975 (H11N9)) for the detection of N9 (c). HRP-conjugated anti-rabbit or anti-goat antibodies were used as detection antibodies, respectively. After the addition of Supersignal West Dura Luminol HRP substrate, chemiluminenscent images were captured under a Fujifilm Intelligent Dark Box, using the Image Reader LAS-3000 software. The full Western blot images for Fig. 1 are provided in the Supplementary Info File.