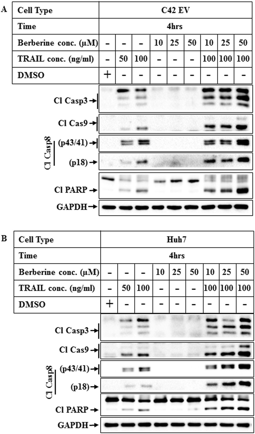
Figure 3

Effect of increasing concentrations of TRAIL and BBR on apoptosis. (A) C42 EV (overexpressing empty vector) and (B) Huh7 cells were treated for 4 hrs with DMSO or increasing concentrations of TRAIL alone (lanes 2, 3) or BBR alone (lanes 4–6) or a combination of TRAIL (100ng/ml) and increasing concentrations of BBR (lanes 7–9). Western blot analyses were performed with the indicated antibodies. For all western blots (A,B), the bands from adjacent lanes were cropped from the same blot (full-length uncropped blots are included in Supplementary Fig. S5).