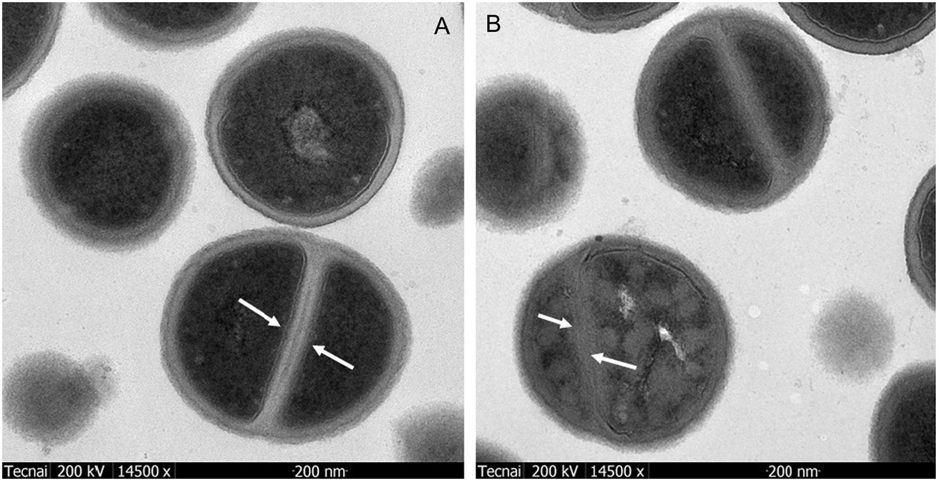
Figure 11

TEM images of MRSA after 30 min of aspermerodione (1) treatment. (A) Untreated MRSA. The arrows indicate intact septa. (B) MRSA treated with the MIC of aspermerodione (32 μg/mL). The arrows indicate irregular membrane damage and disruption.