Figure 3
From: Development of new method to enrich human iPSC-derived renal progenitors using cell surface markers

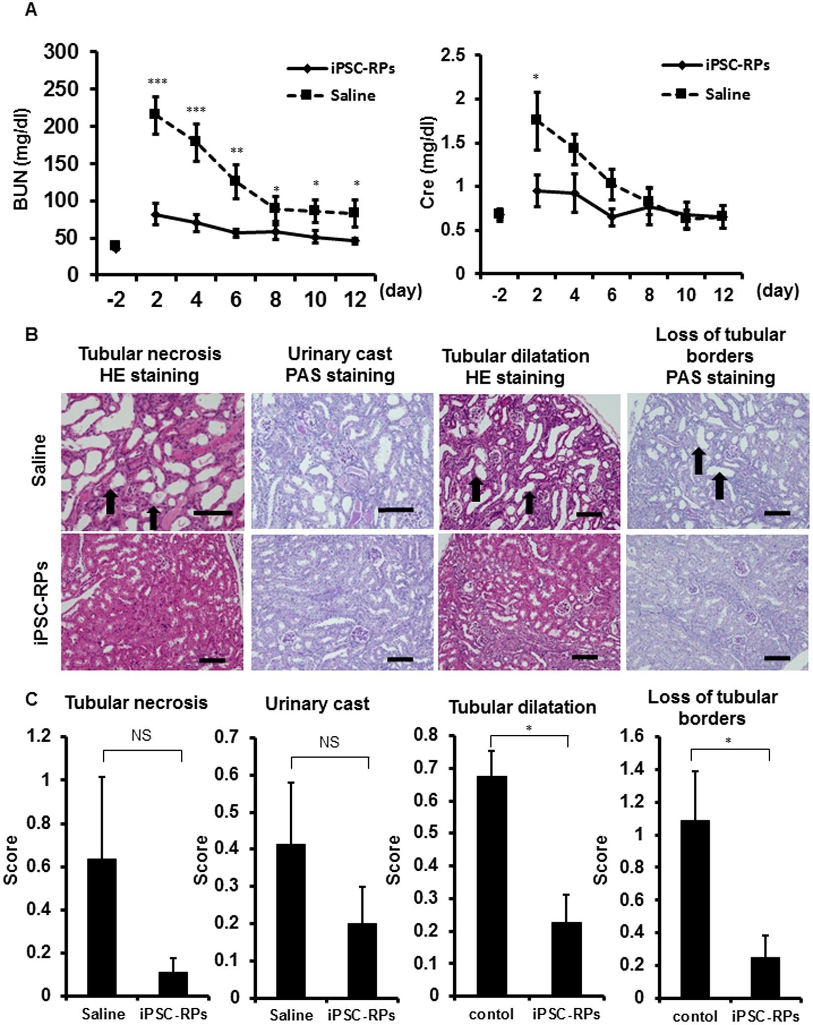
Cell therapy using hiPSC-derived CD9−CD140a+CD140b+CD271+ cells for acute kidney injury (AKI) model mice. (A) Time course analysis of blood urea nitrogen (BUN, left) and serum creatinine (Cre, right) levels in ischemia/reperfusion (I/R) AKI mice that received a renal subcapsular transplantation of hiPSC-derived CD9−CD140a+CD140b+CD271+ cells (n = 4, iPSC-RPs, diamond) or saline injection (n = 4, square). Statistical significance: ***P < 0.001 vs. saline, **P < 0.01 vs. saline and *P < 0.05 vs. saline after multiple testing adjustment. Least square means and 95% confidence intervals were estimated according to the mixed effects model for repeated measures. (B) Representative section images of the host mouse kidney samples that received saline injection (upper panels) or transplantation of iPSC-RPs (lower panels) on day 12 after I/R and transplantation. Tubular necrosis, urinary cast, tubular dilatation and loss of tubular borders can be seen in each treatment group. The arrows indicate representative areas of each finding. Scale bars, 100 µm. (C) Histological intensity scores of tubular necrosis, urinary cast, tubular dilatation and loss of tubular borders in host kidneys on day 12 after I/R injury (n = 4). Statistical significance: *P < 0.05 vs. saline after multiple testing adjustment. BUN, blood urea nitrogen; Cre, creatinine; HE, Hematoxylin and eosin; PAS, periodic acid-Schiff; NS, not significant.