Figure 4
From: Development of new method to enrich human iPSC-derived renal progenitors using cell surface markers

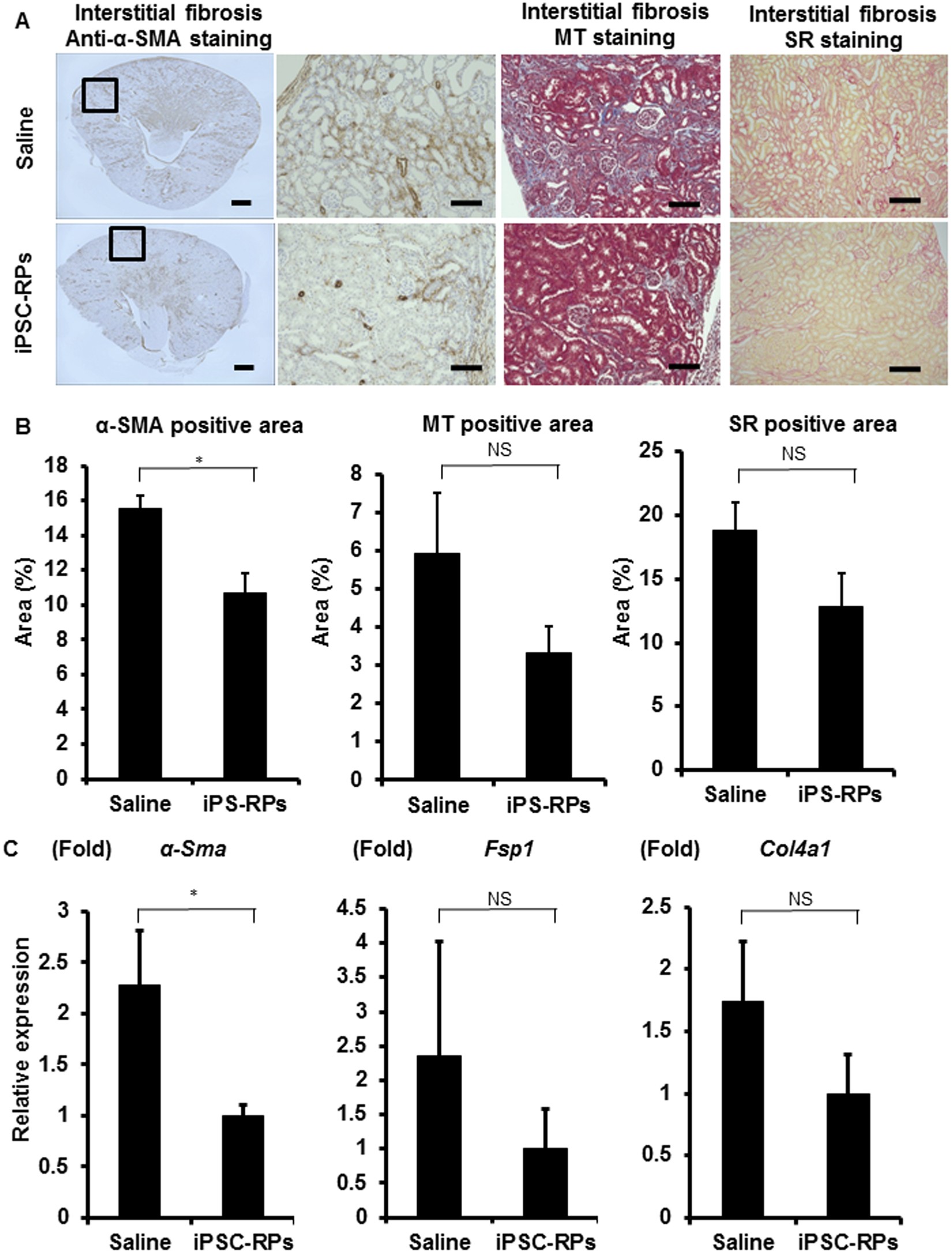
The evaluation of kidney fibrosis after cell therapy using hiPSC-derived CD9−CD140a+CD140b+CD271+ cells in mouse acute kidney injury (AKI) models (A) Representative images of host mouse kidney sections stained with anti-alpha smooth muscle actin (α-SMA) immunostaining and Masson’s trichrome (MT) and Sirius red (SR) stainings in saline- (upper panels) or CD9−CD140a+CD140b+CD271+ cell (iPSC-RP, lower panels)-treated groups. The boxed areas are magnified and displayed in the right panels. Scale bars, 500 µm in the panel to the farthest left and 100 µm in the others. (B) Quantitative analyses of kidney fibrosis areas by anti-α-SMA immunostaining and MT and SR stainings in the host kidneys on day 12 after I/R injury (n = 4). Statistical significance: *P < 0.05 vs. saline after multiple testing adjustment. (C) qRT-PCR analyses of gene expression in the host kidneys on day 12 after I/R injury for the markers of kidney fibrosis (n = 4). Statistical significance: *P < 0.05 vs. saline after multiple testing adjustment. Fsp1, Fibroblast-specific protein 1; Col4a1, alpha-1 subunit of collagen type IV, NS, not significant.