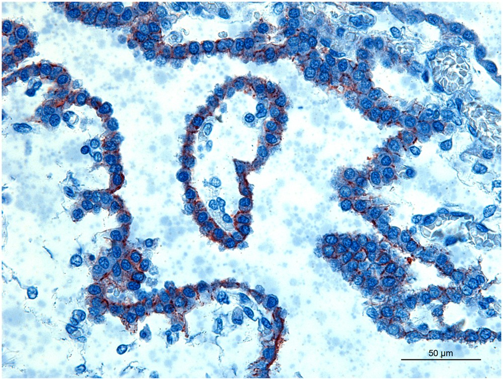
Figure 6

Immunohistochemistry for detection of Brucella sp. in the choroid plexus of a stillborn dog. Choroid plexus with intracytoplasmic immunostaining with a granular pattern in cells of the choroid plexus. Bar = 50 μm.

Immunohistochemistry for detection of Brucella sp. in the choroid plexus of a stillborn dog. Choroid plexus with intracytoplasmic immunostaining with a granular pattern in cells of the choroid plexus. Bar = 50 μm.