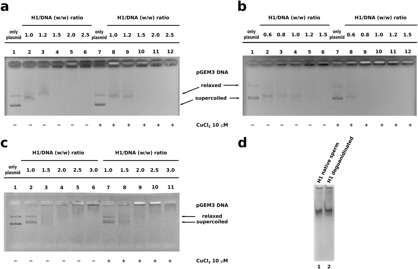
Figure 1

DNA binding affinity of H1 histones in absence and presence of 10 µM CuCl2 analized by EMSA. Samples containing pGEM3 plasmid DNA, incubated with increasing amount of (a) somatic H1 histones, (b) native sperm H1 histones and (c) deguanidinated sperm H1 histones, were analyzed by 1% agarose gel electrophoresis. (d) AU-PAGE of native and deguanidinated sperm H1 histones.