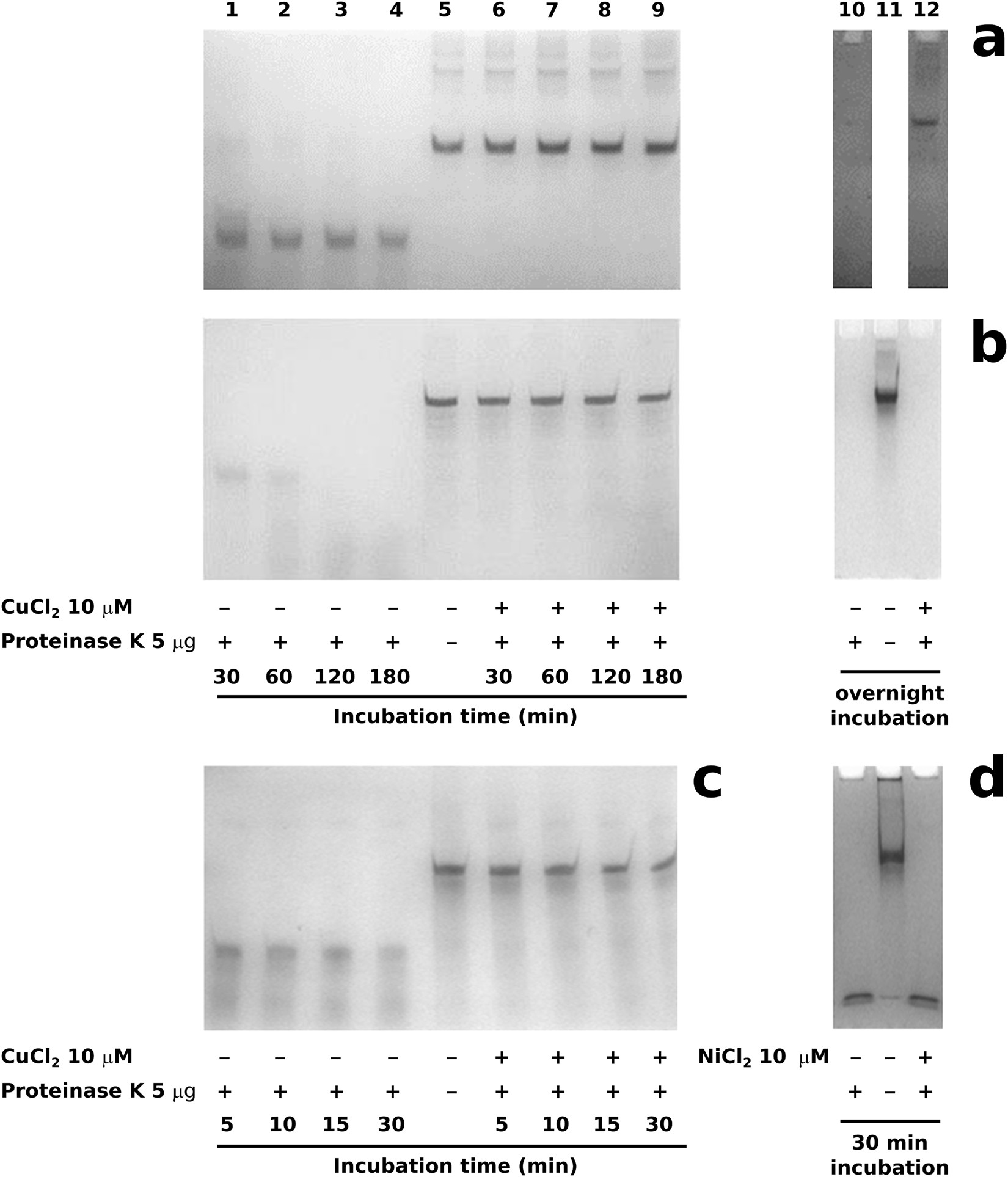
Figure 3

Proteinase K digestion kinetics of H1 histones in absence and presence of 10 μM CuCl2 analized by AU-PAGE. (a) Native sperm H1 histones digested for 30′-3 h and overnight; (b) Somatic H1 histones digested for 30′-3 h and overnight; (c) Deguanidinated sperm H1 histones digested for 5′–30′; (d) Native sperm H1 histones digested for 30′ in absence and presence of 10 μM NiCl2.