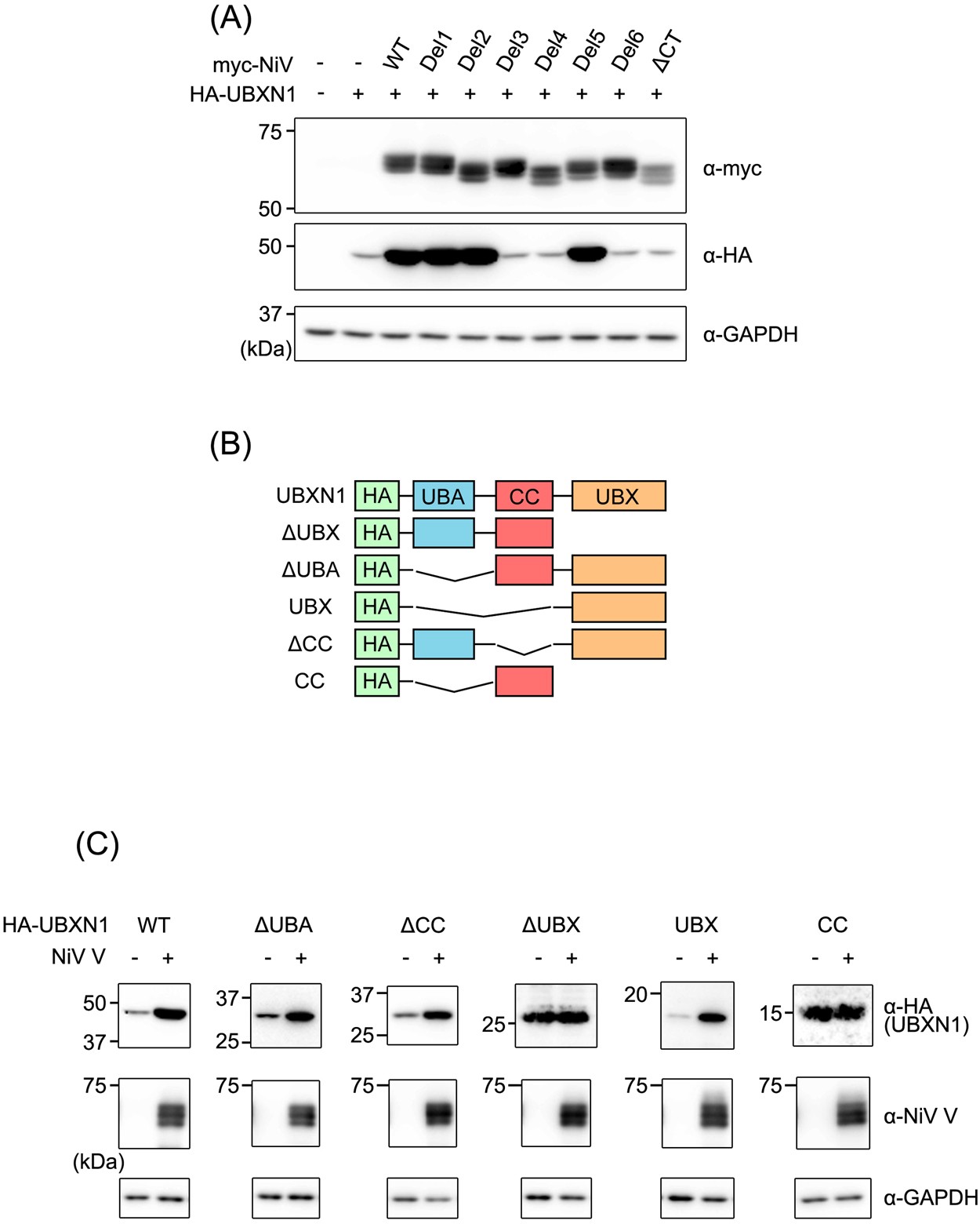
Figure 4

Identification of the domains required to stabilize UBXN1. (A) HEK293T cells were transfected with equal amounts of vector expressing HA-tagged UBXN1 and vectors expressing myc-tagged wild-type NiV V or its deletion mutants. At 48 h posttransfection, the proteins were detected with western blotting. (B) A schematic diagram of the HA-tagged deletion mutants of UBXN1 is shown. (C) HEK293T cells were transfected with vectors expressing HA-tagged deletion mutants of UBXN1 together with a vector expressing NiV V or the empty vector. At 48 h posttransfection, the proteins were detected with western blotting. The blots presented in (A,C) were cropped from different images to improve clarity. Full-length blots are presented in Supplementary Figure S3.