Figure 1

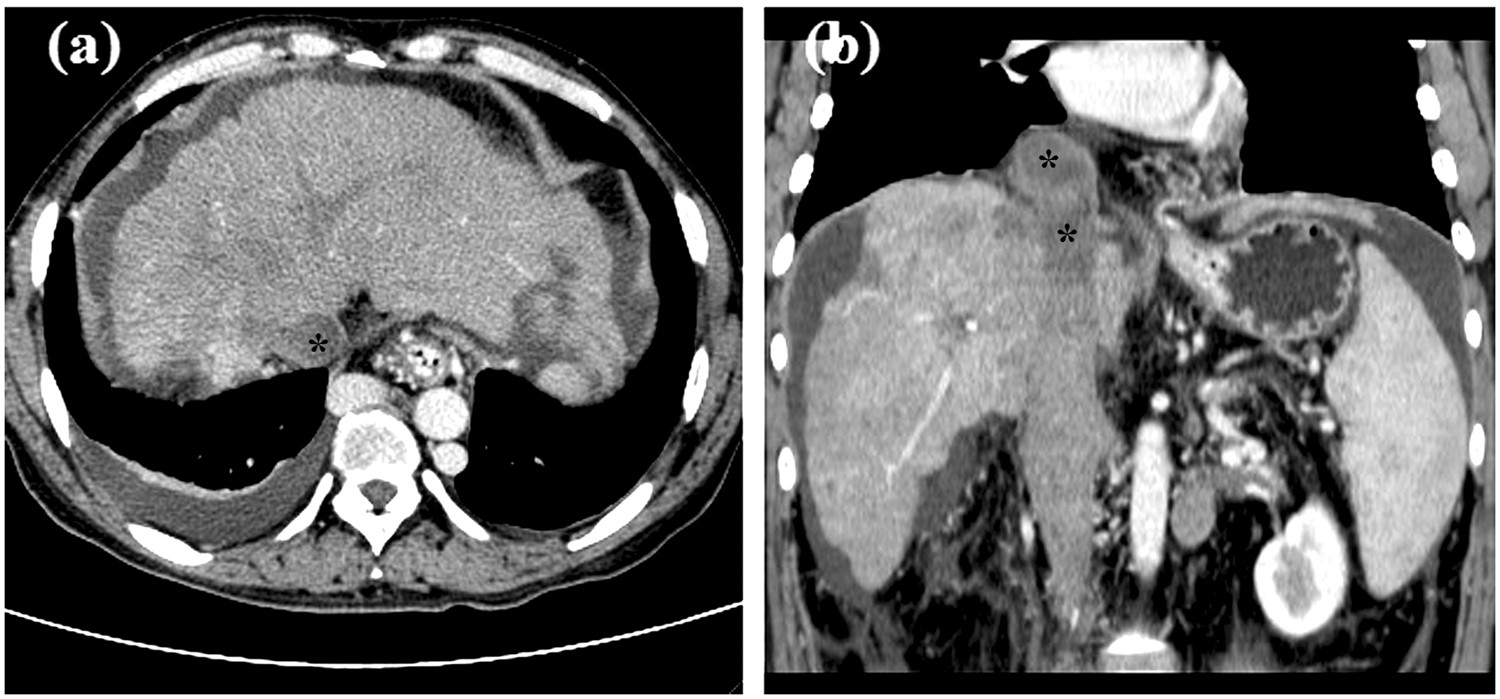
Preoperative CT scanning. (a) Liver cirrhosis caused by BCS, hydrothorax, and can be seen in the cross section of CT. (b) Segmental occlusion of IVC with thrombus was shown in coronal section view. * indicated thrombus.

Preoperative CT scanning. (a) Liver cirrhosis caused by BCS, hydrothorax, and can be seen in the cross section of CT. (b) Segmental occlusion of IVC with thrombus was shown in coronal section view. * indicated thrombus.