Figure 2

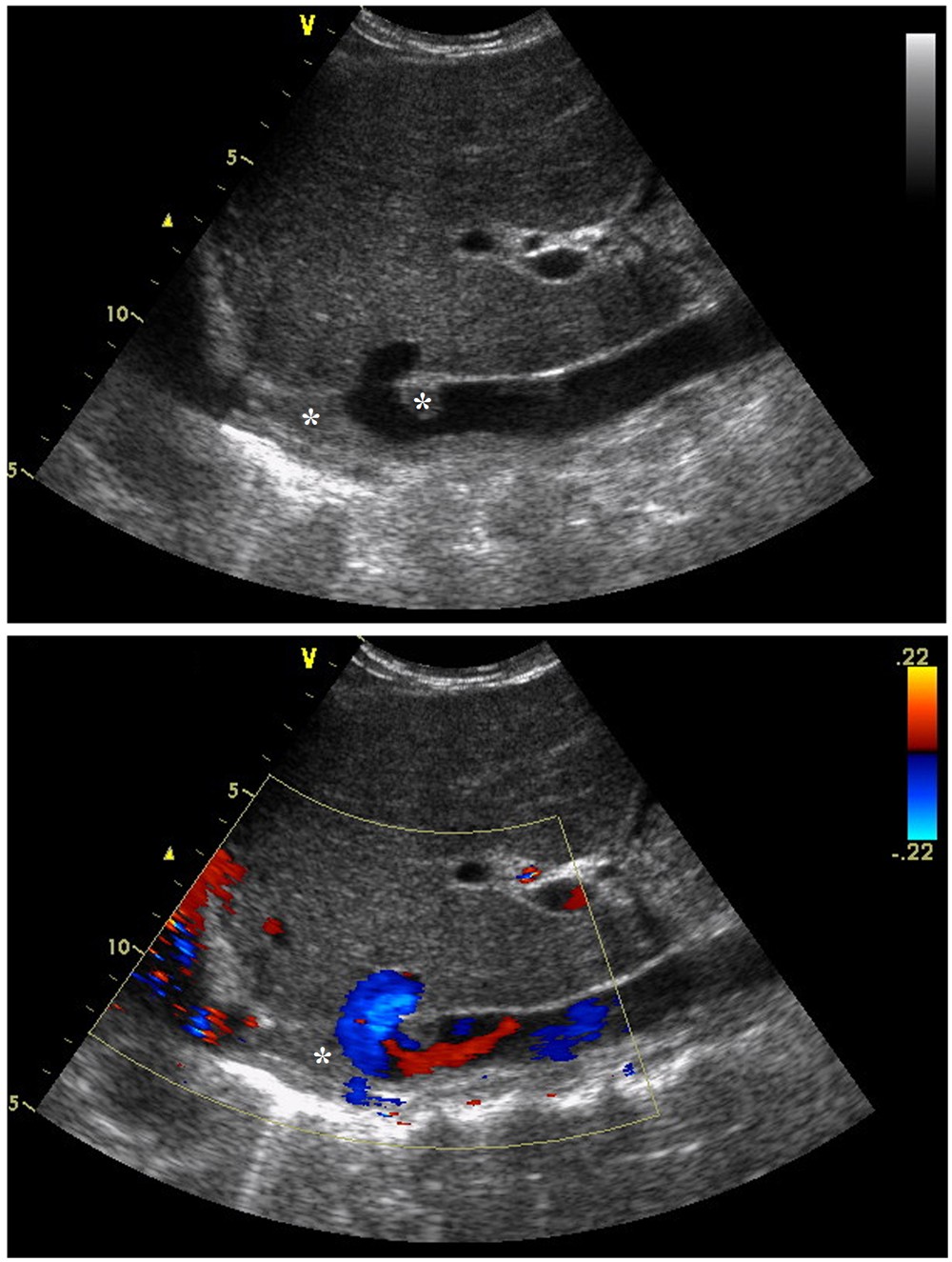
Preoperative color Doppler sonography. Segmental occlusion, thrombus and a small amount of blood flow echoes were shown in IVC. * indicated thrombus.

Preoperative color Doppler sonography. Segmental occlusion, thrombus and a small amount of blood flow echoes were shown in IVC. * indicated thrombus.