Figure 2
From: Focal brain lesions induced with ultraviolet irradiation

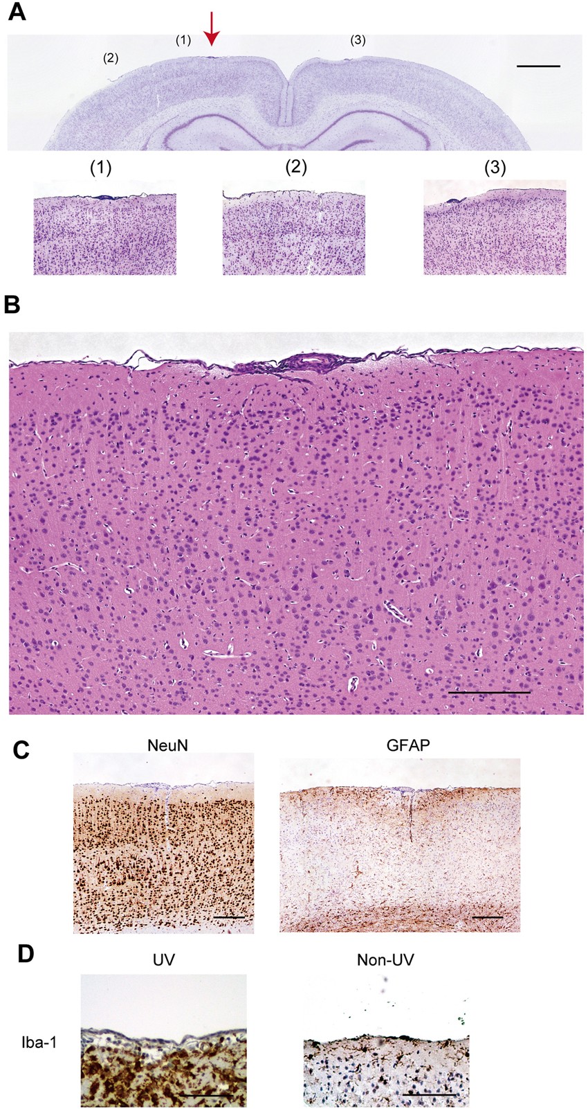
Effects of non-UV irradiation on the cortical surface. (A) Representative photomicrographs of non-UV light-irradiated sections subjected to Nissl staining (at bregma −2.92 mm). Top: Magnification, x 8. Scale bar, 1000 µm. Red arrow, site of the optic cannula tip. (1), (2), and (3) indicate corresponding sites on the top and bottom panels. Bottom: Higher-magnification (x 40) photomicrographs of the same brain slice as that shown in the top panel. (1) Non-UV light-irradiated site. (2) Area adjacent to the non-UV light-irradiated site. (3) Area contralateral to the non-UV light-irradiated site. Scale bar, 200 µm. (B) Representative photomicrograph of a non-UV light-irradiated section subjected to HE staining. Magnification, x 200. Scale bar, 200 µm. Note that no clear cortical lesion was observed in Nissl or HE staining. (C) Representative photomicrographs of non-UV light-irradiated sections subjected to immunohistochemical staining. The left and right panels show staining for NeuN (brown, neuronal marker) and GFAP (brown, astrocyte marker), respectively, and counter-staining with haematoxylin (deep blue). Magnification, x 40. Scale bar, 200 µm. (D) Representative photomicrographs of sections subjected to immunohistochemical staining for Iba-1 (brown, microglial marker) and counter-staining with haematoxylin (deep blue). The left panel shows a non-UV light-irradiated section, and the right panel shows a UV-irradiated section. Magnification, x 200. Scale bar, 100 µm. Neuronal degeneration and glial congregation were hardly observed in the sections subjected to non-UV light irradiation.